missing translation for 'onlineSavingsMsg'
Learn More
Learn More
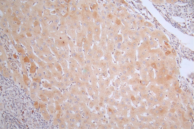
Invitrogen™ CRP Recombinant Rabbit Monoclonal Antibody (10F7)

Rabbit Recombinant Monoclonal Antibody
Brand: Invitrogen™ MA550154
This item is not returnable.
View return policy
Description
CRP Recombinant Monoclonal Antibody for ELISA, IHC (P)
CRP (C-reactive protein) is a major cyclic, pentameric acute phase protein compound consisting of five identical, noncovalently bound, nonglycosylated subunits. Eeach subunit is made up of 206 amino acids, and has a molecular weight of 24 kDa. CRP is produced by the liver, and its plasma levels rise dramatically during inflammatory processes occurring in the body. CRP is an initiator of classical complement cascade, binds to several nuclear components (chromatin, histones, etc.), plays an important role in innate immunity, and mediates activities associated with pre-immune nonspecific host resistance. Specifically, there is a 100-1000 fold increase of CRP in response to injury, infection or inflammation. CRP is opsonic, an initiator of the classical complement cascade, and an activator of monocytes/macrophages. CRP also binds to several nuclear components including chromatin, histones and snRNP, suggesting that it may play a role as a scavenger during cell necrosis. CRP is involved in several host defense related functions based on its ability to recognize foreign pathogens and damaged cells of the host, and initiates pathogen elimination by interacting with humoral and cellular effector systems in the blood. Patients with elevated basal levels of CRP have been shown to be an increased risk for hypertension and cardiovascular disease.
Specifications
| CRP | |
| Recombinant Monoclonal | |
| 0.6 mg/mL | |
| PBS with 0.05% BSA, 50% glycerol and 0.02% sodium azide; pH 7.4 | |
| P02741 | |
| Crp | |
| A synthesized peptide derived from Human CRP. | |
| 100 μL | |
| Primary | |
| Human | |
| Antibody | |
| IgG |
| ELISA, Immunohistochemistry (Paraffin) | |
| 10F7 | |
| Unconjugated | |
| Crp | |
| Aa1249; Ab1-341; Ab2-196; Ac1-114; Ac1262; Ac2-069; acute phase protein; CRP; AI255847; Ba2-693; c reactive; C-reactive preprotein; C-reactive protein; C-reactive protein member of the pentraxin family; C-reactive protein(1-205); C-reactive protein, member of the pentraxin family; C-reactive protein, pentraxin-related; C-reactive protein, petaxin related; CRP; CRP1; CSRP; CYRP; D1S181E; DKFZp686M148; DKFZp686M149; MGC149895; MGC88244; pentraxin 1; PTX1; RP11-419N10.4 | |
| Rabbit | |
| Affinity chromatography | |
| RUO | |
| 1401 | |
| -20°C or -80°C if preferred | |
| Liquid |
Product Content Correction
Your input is important to us. Please complete this form to provide feedback related to the content on this product.
Product Title
Spot an opportunity for improvement?Share a Content Correction