missing translation for 'onlineSavingsMsg'
Learn More

CPS1 / Carbamoyl-Phosphate Synthetase Mouse, Clone: SPM615, enQuireBio™

Mouse Monoclonal Antibody

Brand:  EnquireBio 1373-MSM1X-P1

Product Code. 15929847

  • £423.29 / 100µg

Please to purchase this item. Need a web account? Register with us today!

This item is not returnable. View return policy

Description

Description

Specifications

Specifications

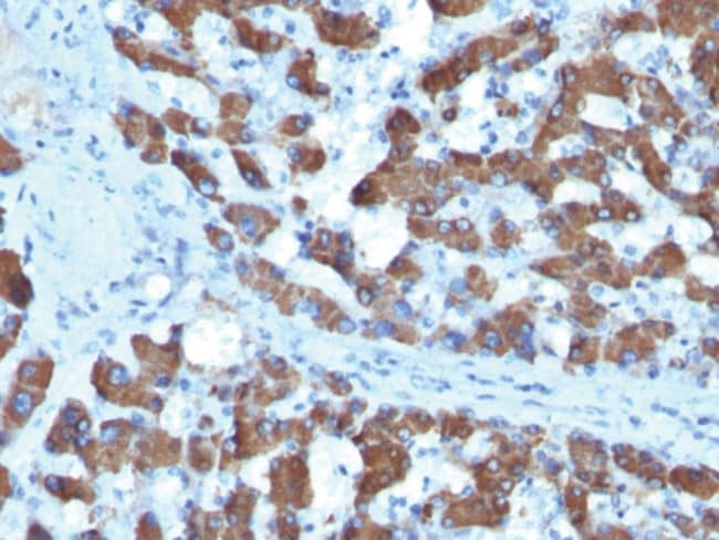
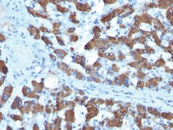
CPS1 / Carbamoyl-Phosphate Synthetase
Finely granular cytoplasmic
SPM615
Unconjugated
XP_011508945
Mouse
∽165kDa
Protein A/G Purified
RUO
1373
IgG1
Immunofluorescence, Immunohistochemistry
Monoclonal
200μg/mL
10mM PBS with 0.05% BSA and 0.05% azide
CPS1
Recombinant human CPS1 protein
HeLa cells. Liver or Hepatocellular Carcinoma (HCC)
100 μg
Primary
Short term: Store at 2-4°C. Long term, aliquot and store at -20°C.
Product Suggestions

Product Suggestions

Videos
SDS
Documents

Documents

Certificates
Promotions

Promotions

Product Content Correction

Your input is important to us. Please complete this form to provide feedback related to the content on this product.

Product Title

By clicking Submit, you acknowledge that you may be contacted by Fisher Scientific in regards to the feedback you have provided in this form. We will not share your information for any other purposes. All contact information provided shall also be maintained in accordance with our Privacy Policy.

Thank You! Your feedback has been submitted. Fisher Scientific is always working to improve our content for you. We appreciate your feedback.