Learn More
Invitrogen™ COPE Monoclonal Antibody (9B6)

Mouse Monoclonal Antibody
Brand: Invitrogen™ MA536232
Description
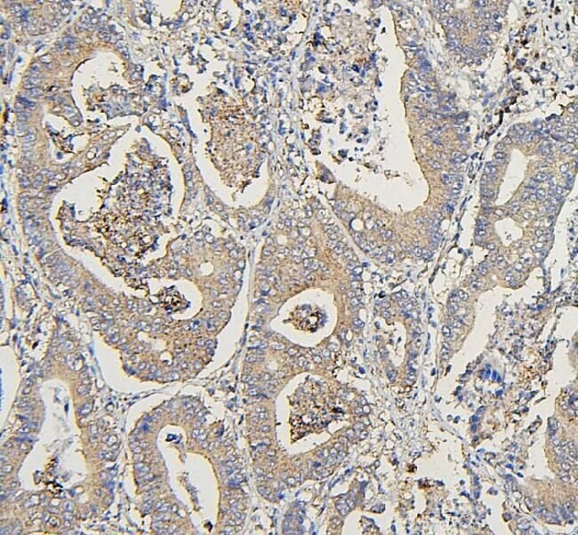
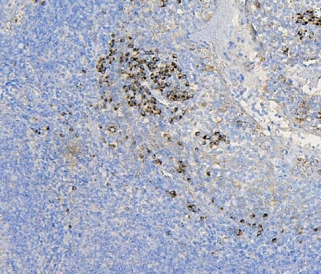
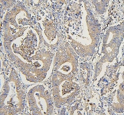
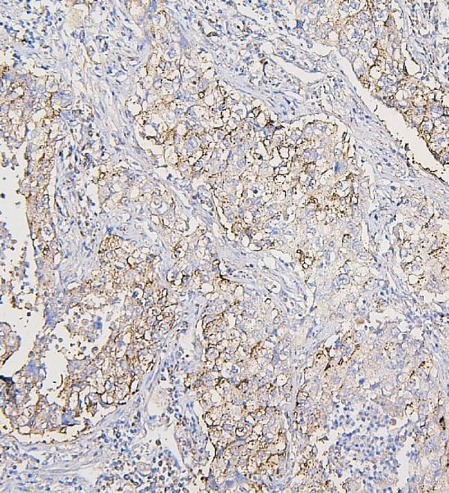
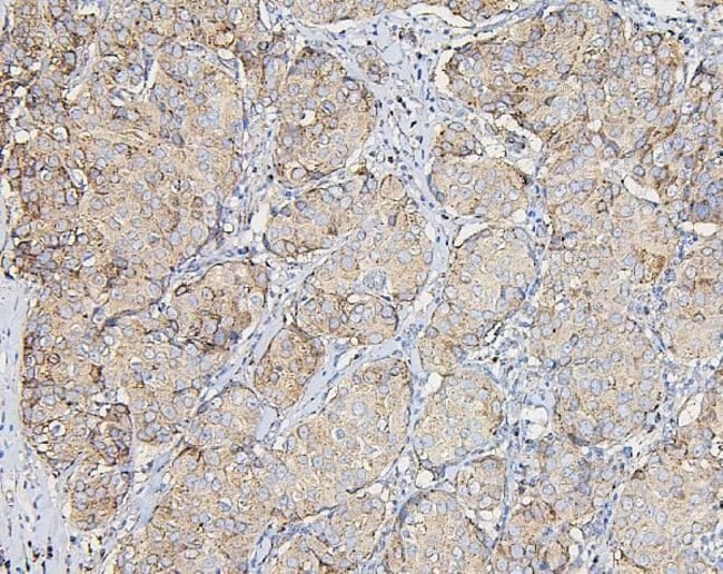
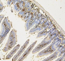
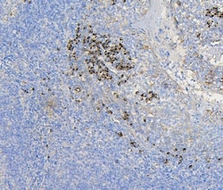
Reconstitute with 0.2 mL of distilled water to yield a concentration of 500 μg/mL. Positive Control - WB: human HEK293 whole cell, human HepG2 whole cell, human placenta tissue, human Caco-2 whole cell, human A549 whole cell, human PANC-1 whole cell, human SW579 whole cell. IHC: human mammary cancer tissue, human tonsil tissue, human intestinal cancer tissue, human lung cancer tissue, mouse intestine tissue, rat intestine tissue. ICC/IF: A431 cell. Flow: A431 cell, HepG2 cell. Store at -20°C for one year from date of receipt. After reconstitution, at 4°C for one month. It can also be aliquotted and stored frozen at -20°C for six months. Avoid repeated freeze-thaw cycles.
The product of this gene is an epsilon subunit of coatomer protein complex. Coatomer is a cytosolic protein complex that binds to dilysine motifs and reversibly associates with Golgi non-clathrin-coated vesicles. It is required for budding from Golgi membranes, and is essential for the retrograde Golgi-to-ER transport of dilysine-tagged proteins. Coatomer complex consists of at least the alpha, beta, beta', gamma, delta, epsilon and zeta subunits. Alternatively spliced transcript variants encoding different isoforms have been identified.
Specifications
| COPE | |
| Monoclonal | |
| 500 μg/mL | |
| PBS with 4mg trehalose and 0.05mg sodium azide | |
| O14579, O89079 | |
| COPE | |
| E. coli-derived human COPE recombinant protein (Position: E80-A308). | |
| 100 μg | |
| Primary | |
| Human, Mouse, Rat | |
| Antibody | |
| IgG2a |
| Flow Cytometry, Immunohistochemistry (Paraffin), Western Blot, Immunocytochemistry | |
| 9B6 | |
| Unconjugated | |
| COPE | |
| 1110005D17Rik; coatomer epsilon subunit; coatomer protein complex subunit epsilon; coatomer protein complex, subunit epsilon; coatomer subunit epsilon; Cope; Cope1; epsilon coat protein; epsilon-coat protein; Epsilon-COP; nonclathrin coat protein epsilon-COP | |
| Mouse | |
| Affinity chromatography | |
| RUO | |
| 11316, 290659, 59042 | |
| -20°C | |
| Lyophilized |
Your input is important to us. Please complete this form to provide feedback related to the content on this product.