missing translation for 'onlineSavingsMsg'
Learn More
Learn More
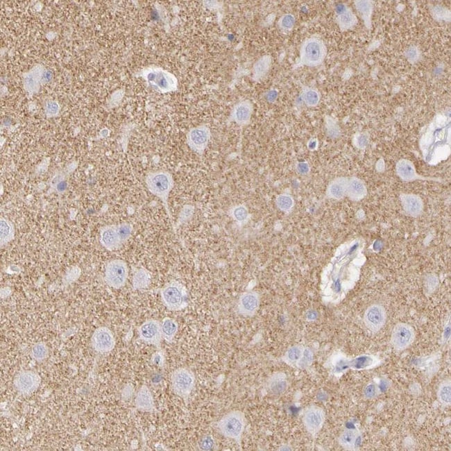
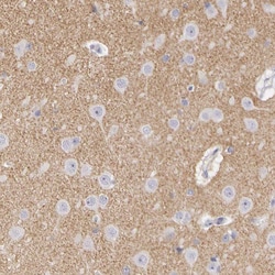
Invitrogen™ Contactin 2 Polyclonal Antibody

Rabbit Polyclonal Antibody
Brand: Invitrogen™ PA551571
This item is not returnable.
View return policy
Description
Immunogen sequence: PASPSANATT MKPPPRRPPG NISWTFSSSS LSIKWDPVVP FRNESAVTGY KMLYQNDLHL TPTLHLTGKN WIEIPVPEDI GHALVQIRTT GPGGDGIPAE VHIVRNGGTS MMVENMAVRP APHPGTVISH SVAMLIL Highest antigen sequence identity to the following orthologs: Mouse - 85%, Rat - 84%.
Contactin 2 (CNTN2, transiently-expressed axonal glycoprotein, AXT, TAX, TAX1, TAG-1, axonin 1) is a neuronal cell adhesion molecule (CAM) that influences the formation of axon connections in the developing nervous system. Contactin 2 is a member of the immunoglobulin superfamily (IgSF) and contains a glycosylphosphatidylinositol-anchor, six immunoglobulin (Ig)-like and four Fibronectin type III (FNIII)-like domains. Contactin 2 is expressed predominantly during neural development on the cell membrane of axons in nerve fiber tracts in order to guide commissural axons without promoting their growth. Contactin 2 binds with NgCAM in the plane of the same membrane (cis-binding). The Contactin 2 heterophilic (Contactin 2/NgCAM and Contactin 2/NrCAM) binding sites are localized to the first four Ig domains. The Contactin 2 homophilic (Contactin 2/Contactin 2) binding site is localized to the FNIII domain.
Specifications
| Contactin 2 | |
| Polyclonal | |
| Unconjugated | |
| CNTN2 | |
| Axonal glycoprotein TAG-1; axonin; Axonin 1; Axonin1; axonin-1; axonin-1 cell adhesion molecule; AXT; Cntn2; contactin 2; contactin 2 (axonal); contactin 2 (transiently expressed); Contactin2; contactin-2; D130012K04Rik; DKFZp781D102; FAME5; MGC157722; TAG1; TAG-1; TAG-564; Tax; TAX1; TAX-1; transient axonal glycoprotein 1; transiently-expressed axonal glycoprotein | |
| Rabbit | |
| Antigen affinity chromatography | |
| RUO | |
| 6900 | |
| Store at 4°C short term. For long term storage, store at -20°C, avoiding freeze/thaw cycles. | |
| Liquid |
| Immunohistochemistry (Paraffin) | |
| 0.1 mg/mL | |
| PBS with 40% glycerol and 0.02% sodium azide; pH 7.2 | |
| Q02246 | |
| CNTN2 | |
| Recombinant protein corresponding to Human Contactin 2. Recombinant protein control fragment (Product #RP-94791). | |
| 100 μL | |
| Primary | |
| Human | |
| Antibody | |
| IgG |
Product Content Correction
Your input is important to us. Please complete this form to provide feedback related to the content on this product.
Product Title
Spot an opportunity for improvement?Share a Content Correction