missing translation for 'onlineSavingsMsg'
Learn More

Complement C3 Antibody (11H9) - BSA Free, Novus Biologicals™

Rat Monoclonal Antibody has been used in 11 publications

Brand:  Novus Biologicals NB200-540SS

Product Code. 18739993

  • £203.00 / 25µL

Please to purchase this item. Need a web account? Register with us today!

This item is not returnable. View return policy

Description

Description

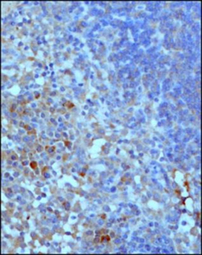
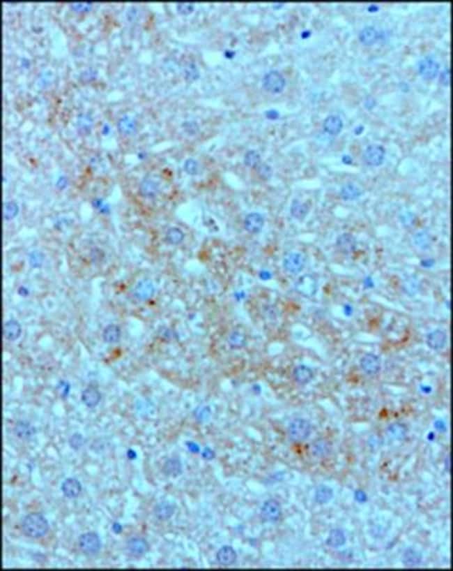
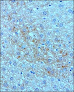
Complement C3 Monoclonal specifically detects Complement C3 in Mouse, E. coli samples. It is validated for Flow Cytometry, Immunohistochemistry, Immunocytochemistry/Immunofluorescence, Immunoprecipitation, Immunohistochemistry-Paraffin, Immunohistochemistry-Frozen, Immunoassay, Flow (Intracellular), CyTOF-ready.
TRUSTED_SUSTAINABILITY
Specifications

Specifications

Complement C3
Monoclonal
1.0 mg/mL
Flow Cytometry 1-2 ug/mL, Immunohistochemistry 1:10-1:500, Immunocytochemistry/Immunofluorescence 1:10-1:500, Immunoprecipitation 1:10-1:500, Immunohistochemistry-Paraffin 1:10-1:500, Immunohistochemistry-Frozen 1:10-1:500, Immunoassay 0.5 ug/well in PBS,
P01027
C3
This Complement C3 Antibody (11H9) was developed against C57BL/6 thymocytes saturated with rat anti-Thy-1 monoclonal antibody of IgG2b subclass (RmT1).
0.025 mL
Angiogenesis, Apoptosis, Autoimmune Diseases, Immunology, Inflammation, Innate Immunity, Mesenchymal Stem Cell Markers, Neurodegeneration, Neuroscience, Signal Transduction
718
Mouse, E. coli
Purified
Flow Cytometry, Immunohistochemistry, Immunocytochemistry, Immunofluorescence, Immunoprecipitation, Immunohistochemistry (Paraffin)
11H9
Unconjugated
PBS with 0.05% Sodium Azide
AHUS5, ARMD9, ASP, C3 and PZP-like alpha-2-macroglobulin domain-containing protein 1, complement C3, complement component 3, complement component C3, CPAMD1acylation-stimulating protein cleavage product
Rat
Protein G purified
RUO
Primary
Mouse Complement C3 and its activation products, C3b, iC3b, C3d and C3dg
Store at 4C short term. Aliquot and store at -20C long term. Avoid freeze-thaw cycles.
IgG2a
Product Suggestions

Product Suggestions

Videos
SDS
Documents

Documents

Certificates
Promotions

Promotions

Product Content Correction

Your input is important to us. Please complete this form to provide feedback related to the content on this product.

Product Title

By clicking Submit, you acknowledge that you may be contacted by Fisher Scientific in regards to the feedback you have provided in this form. We will not share your information for any other purposes. All contact information provided shall also be maintained in accordance with our Privacy Policy.

Thank You! Your feedback has been submitted. Fisher Scientific is always working to improve our content for you. We appreciate your feedback.

For Research Use Only