missing translation for 'onlineSavingsMsg'
Learn More

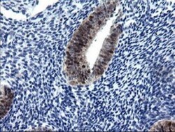
CMP kinase Antibody (OTI1A1), Novus Biologicals™

Mouse Monoclonal Antibody

Brand:  Novus Biologicals NBP2-46313

Product Code. 18107588

  • £439.00 / 0.10mL

Please to purchase this item. Need a web account? Register with us today!

This item is not returnable. View return policy

Description

Description

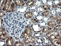
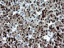
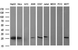
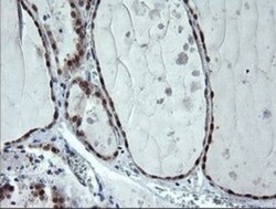
Ensure accurate, reproducible results in Western Blot, Immunohistochemistry, Immunofluorescence

CMP kinase Monoclonal specifically detects CMP kinase in Human, Mouse, Rat, Monkey samples. It is validated for Western Blot, Immunohistochemistry, Immunofluorescence.
TRUSTED_SUSTAINABILITY
Specifications

Specifications

CMP kinase
Monoclonal
1 mg/mL
Western Blot 1:2000, Immunohistochemistry 1:150, Immunofluorescence 1:100
CMKEC 2.7.4.14, CMPKUMKUMP-CMP kinase, cytidine monophosphate (UMP-CMP) kinase 1, cytosolic, Cytidine monophosphate kinase, Cytidylate kinaseUMP/CMP kinase, Deoxycytidylate kinase, EC 2.7.4, UMP/CMPK, UMP-CMPK, UMPKUCK, Uridine monophosphate kinase, Uridine monophosphate/cytidine monophosphate kinase
Mouse
25.7 kDa
0.1 mL
Proteases & Other Enzymes
51727
Store at -20C. Avoid freeze-thaw cycles.
IgG2b
Western Blot, Immunohistochemistry, Immunofluorescence
OTI1A1
Unconjugated
PBS (pH 7.3), 1.0% BSA and 50% Glycerol with 0.02% Sodium Azide
CMPK1
Full length human recombinant protein of human CMPK1(NP_057392) produced in HEK293T cell.
Immunogen affinity purified
RUO
Primary
Human, Mouse, Rat, Monkey
Purified
Product Suggestions

Product Suggestions

Videos
SDS
Documents

Documents

Certificates
Promotions

Promotions

Product Content Correction

Your input is important to us. Please complete this form to provide feedback related to the content on this product.

Product Title

By clicking Submit, you acknowledge that you may be contacted by Fisher Scientific in regards to the feedback you have provided in this form. We will not share your information for any other purposes. All contact information provided shall also be maintained in accordance with our Privacy Policy.

Thank You! Your feedback has been submitted. Fisher Scientific is always working to improve our content for you. We appreciate your feedback.

For Research Use Only