missing translation for 'onlineSavingsMsg'
Learn More
Learn More
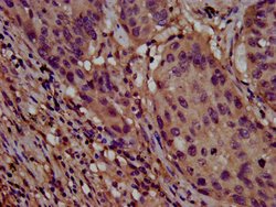
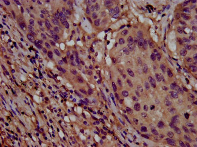
Invitrogen™ CLPTM1L Polyclonal Antibody

Rabbit Polyclonal Antibody
Brand: Invitrogen™ PA5117703
This item is not returnable.
View return policy
Description
This antibody has been tested in direct-ELISA.
CLPTM1L enhances cisplatin-mediated apoptosis, when overexpressed.
Specifications
| CLPTM1L | |
| Polyclonal | |
| Unconjugated | |
| CLPTM1L | |
| C130052I12Rik; cisplatin resistance related protein CRR9p; cisplatin resistance-related protein 9; Cleft lip and palate transmembrane protein 1-like protein; CLPTM1 like; Clptm1l; CLPTM1-like; CLPTM1-like protein; CRR9; CRR9p; RGD1307896 | |
| Rabbit | |
| Protein G | |
| RUO | |
| 81037 | |
| -20°C or -80°C if preferred | |
| Liquid |
| Immunohistochemistry (Paraffin), Western Blot, Immunocytochemistry | |
| 1 mg/mL | |
| PBS with 50% glycerol and 0.03% ProClin 300; pH 7.4 | |
| Q96KA5 | |
| CLPTM1L | |
| Recombinant Human Cleft lip and palate transmembrane protein 1-like protein (32-172aa). | |
| 100 μg | |
| Primary | |
| Human | |
| Antibody | |
| IgG |
Product Content Correction
Your input is important to us. Please complete this form to provide feedback related to the content on this product.
Product Title
Spot an opportunity for improvement?Share a Content Correction