missing translation for 'onlineSavingsMsg'
Learn More

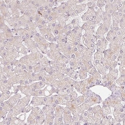
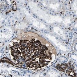
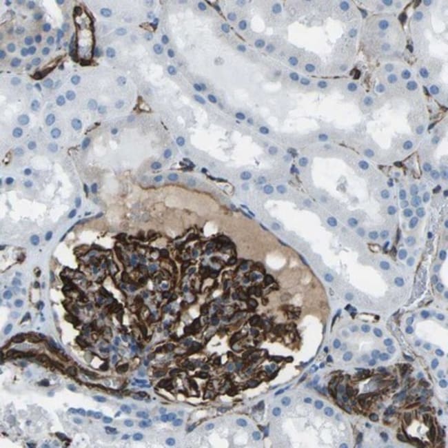
CLPS Antibody, Novus Biologicals™

Product Code. 18418460 Shop All Bio Techne Products
Change view
Click to view available options
Quantity:
0.1 mL
25 μL
Unit Size:
0.10mL
25µL
2 product options available for selection
Product selection table with 2 available options. Use arrow keys to navigate and Enter or Space to select.
Product Code. Quantity unitSize
18418460 25 μL 25µL
18291518 0.1 mL 0.10mL
Use arrow keys to navigate between rows. Press Enter or Space to select a product option. 2 options available.
2 options
This item is not returnable. View return policy
Product Code. 18418460 Supplier Novus Biologicals Supplier No. NBP18610925ul

Please to purchase this item. Need a web account? Register with us today!

This item is not returnable. View return policy

Rabbit Polyclonal Antibody

CLPS Polyclonal specifically detects CLPS in Human samples. It is validated for Western Blot, Immunohistochemistry, Immunohistochemistry-Paraffin.
TRUSTED_SUSTAINABILITY

Specifications

Antigen CLPS
Applications Western Blot, Immunohistochemistry, Immunohistochemistry (Paraffin)
Classification Polyclonal
Conjugate Unconjugated
Dilution Western Blot 0.4 ug/ml, Immunohistochemistry, Immunohistochemistry-Paraffin 1:2500 - 1:5000
Formulation PBS (pH 7.2) and 40% Glycerol with 0.02% Sodium Azide
Gene Alias colipase, colipase, pancreatic, pancreatic colipase preproprotein
Gene Symbols CLPS
Host Species Rabbit
Immunogen This antibody was developed against Recombinant Protein corresponding to amino acids:NLENGELCMNSAQCKSNCCQHSSALGLARCTSMASENSECSVKTLYGIYYKCPCERGLTCEGDKTIVGSITNTNFGICHDAGR
Purification Method Affinity Purified
Quantity 25 μL
Regulatory Status RUO
Research Discipline Lipid and Metabolism
Primary or Secondary Primary
Gene ID (Entrez) 1208
Test Specificity Specificity of antibody verified on a Protein Array containing target protein plus 383 other non-specific proteins.
Target Species Human
Content And Storage Store at 4C short term. Aliquot and store at -20C long term. Avoid freeze-thaw cycles.
Isotype IgG
Show More Show Less

For Research Use Only

Product Title
Select an issue

By clicking Submit, you acknowledge that you may be contacted by Fisher Scientific in regards to the feedback you have provided in this form. We will not share your information for any other purposes. All contact information provided shall also be maintained in accordance with our Privacy Policy.