missing translation for 'onlineSavingsMsg'
Learn More
Learn More
Invitrogen™ CLPP Monoclonal Antibody (OTI1G9)

Mouse Monoclonal Antibody
Brand: Invitrogen™ MA525328
This item is not returnable.
View return policy
Description
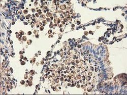
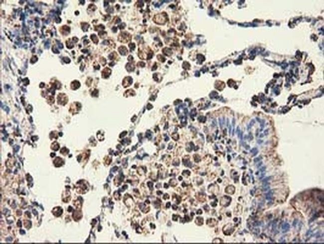
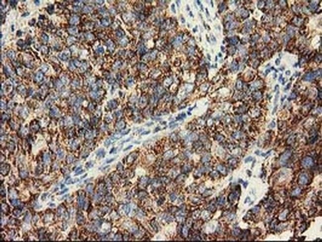
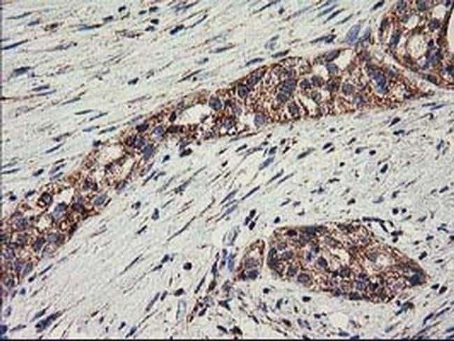
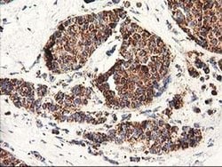
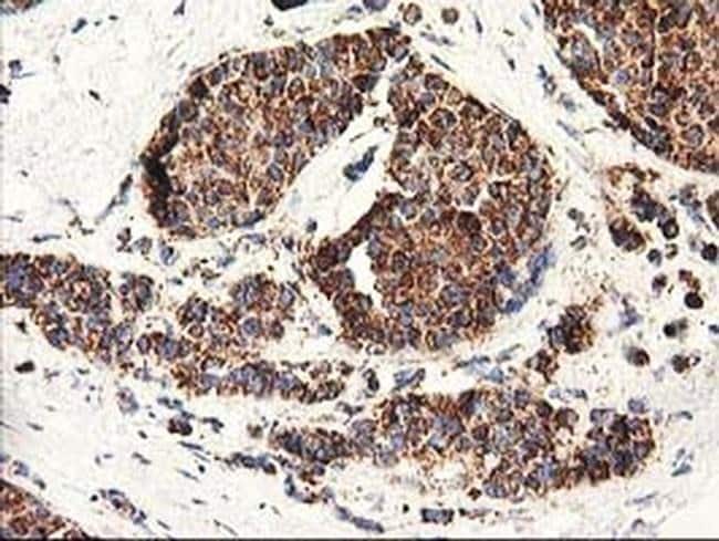
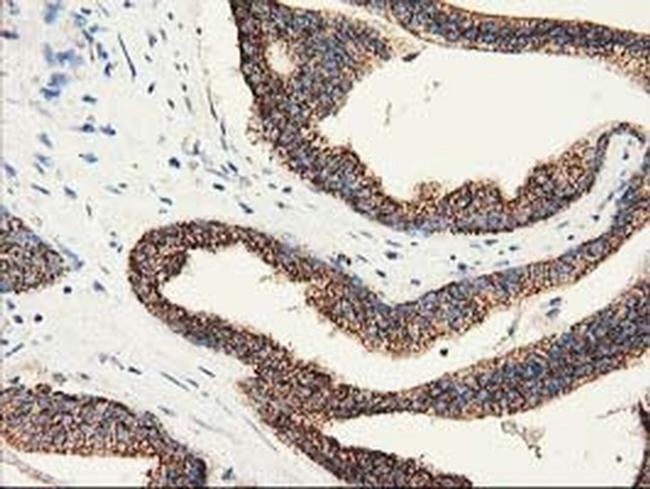
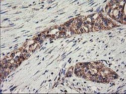
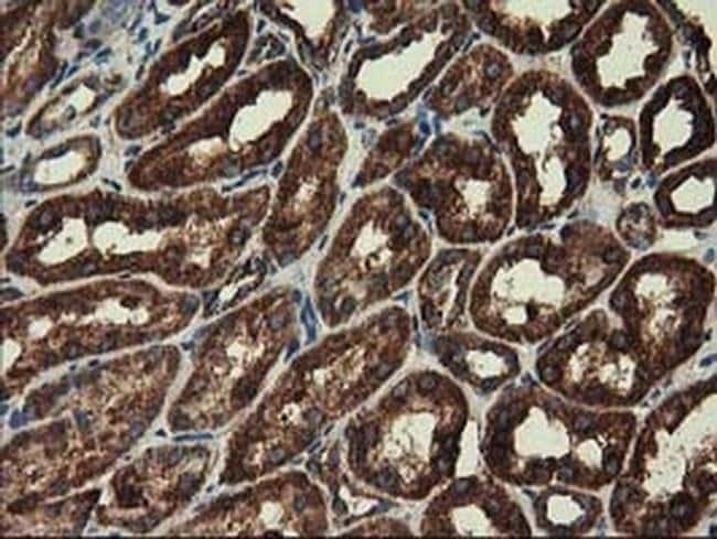
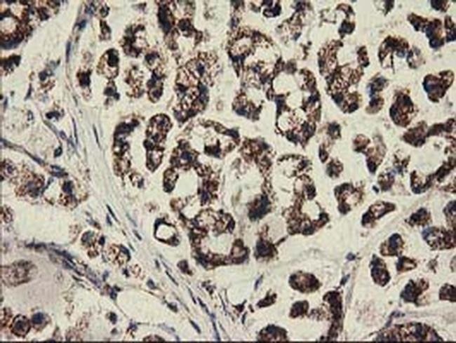
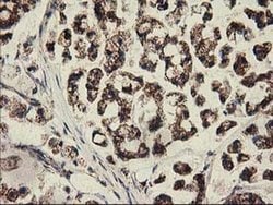
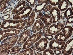
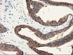
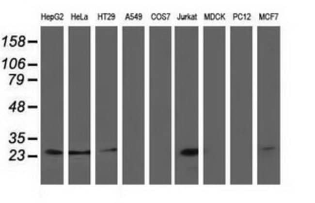
CLPP Monoclonal Antibody for Western Blot, IHC (P), Flow
The protein encoded by this gene belongs to the peptidase family S14 and hydrolyzes proteins into small peptides in the presence of ATP and magnesium. The protein is transported into mitochondrial matrix and is associated with the inner mitochondrial membrane.
Specifications
| CLPP | |
| Monoclonal | |
| 0.7 mg/mL | |
| PBS with 1% BSA, 50% glycerol and 0.02% sodium azide; pH 7.3 | |
| Q16740 | |
| CLPP | |
| Full length human recombinant protein of CLPP produced in HEK293T cell. | |
| 100 μL | |
| Primary | |
| Human | |
| Antibody | |
| IgG1 |
| Flow Cytometry, Immunohistochemistry (Paraffin), Western Blot | |
| OTI1G9 | |
| Unconjugated | |
| CLPP | |
| ATP-dependent Clp protease proteolytic subunit, mitochondrial; ATP-dependent protease ClpAP, proteolytic subunit, human; AU019820; caseinolytic mitochondrial matrix peptidase proteolytic subunit; caseinolytic peptidase, ATP-dependent, proteolytic subunit homolog; caseinolytic protease, ATP-dependent, proteolytic subunit homolog; Clpp; ClpP caseinolytic peptidase ATP-dependent, proteolytic subunit; ClpP caseinolytic peptidase, ATP-dependent, proteolytic subunit; ClpP caseinolytic peptidase, ATP-dependent, proteolytic subunit homolog; ClpP caseinolytic protease, ATP-dependent, proteolytic subunit homolog; D17Wsu160e; DFNB81; endopeptidase Clp; LOW QUALITY PROTEIN: ATP-dependent Clp protease proteolytic subunit, mitochondrial; PRLTS3; putative ATP-dependent Clp protease proteolytic subunit, mitochondrial | |
| Mouse | |
| Affinity Chromatography | |
| RUO | |
| 8192 | |
| -20°C, Avoid Freeze/Thaw Cycles | |
| Liquid |
Correction du contenu d'un produit
Veuillez fournir vos retours sur le contenu du produit en remplissant le formulaire ci-dessous.
Nom du produit
Vous avez repéré une opportunité d'amélioration ?Partager une correction de contenu