missing translation for 'onlineSavingsMsg'
Learn More

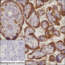
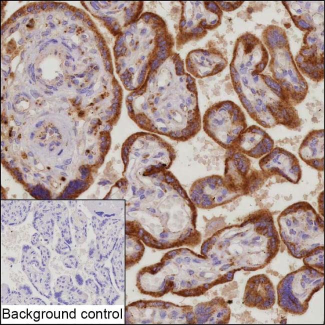
Invitrogen™ CLN2 Recombinant Mouse Monoclonal Antibody (K1H013_12G7)

Product Code. 30825847
Change view
Click to view available options
Quantity:
50 μL
100 μL
2 product options available for selection
Product selection table with 2 available options. Use arrow keys to navigate and Enter or Space to select.
Product Code. Quantity
30825847 50 μL
30829302 100 μL
Use arrow keys to navigate between rows. Press Enter or Space to select a product option. 2 options available.
2 options
This item is not returnable. View return policy
Product Code. 30825847 Supplier Invitrogen™ Supplier No. MA565915

Please to purchase this item. Need a web account? Register with us today!

This item is not returnable. View return policy

Mouse Recombinant Monoclonal Antibody

Immunogen sequence: TPSVIRKRYN LTSQDVGSGT SNNSQACAQF LEQYFHDSDL AQFMRLFGGN FAHQASVARV VGQQGRGRAG IEASLDVQYL MSAGANISTW VYSSPGRHEG QEPFLQWLML LSNESALPHV HTVSYGDDED SLSSAYIQRV NTELMKAAAR GLTLLFASGD SGAGCWSVSG RHQFRPTFPA SSPYVTTVGG TSFQEPFLIT NEIVDYISGG GFSNVFPRPS YQEEAVTKFL SSSPHLPPSS YFNASGRAYP DVAALSDGYW VVSNRVPIPW VSGTSASTPV FGGILSLINE HRILSGRPPL GFLNPRLYQQ HGAGLFDVTR GCHESCLDEE VEGQGFCSGP GWDPVTGWGT PNFPALLKTL Highest antigen sequence identity to the following orthologs: Mouse - 90%, Rat - 91%, Pig - 92%, Cynomolgus monkey - 98%.

This gene encodes a member of the sedolisin family of serine proteases. The protease functions in the lysosome to cleave N-terminal tripeptides from substrates, and has weaker endopeptidase activity. It is synthesized as a catalytically-inactive enzyme which is activated and auto-proteolyzed upon acidification. Mutations in this gene result in late-infantile neuronal ceroid lipofuscinosis, which is associated with the failure to degrade specific neuropeptides and a subunit of ATP synthase in the lysosome.
TRUSTED_SUSTAINABILITY

Specifications

Antigen CLN2
Applications Immunohistochemistry (Paraffin), Western Blot
Classification Recombinant Monoclonal
Clone K1H013_12G7
Concentration 1 mg/mL
Conjugate Unconjugated
Formulation PBS with 0.5% BSA, 50% glycerol and 0.09% sodium azide
Gene TPP1
Gene Accession No. O14773
Gene Alias cell growth-inhibiting gene 1 protein; ceroid-lipofuscinosis, neuronal 2; CLN 2; CLN2; GIG 1; GIG1; growth-inhibiting protein 1; LPIC; lysosomal pepstatin insensitive protease; lysosomal pepstatin-insensitive protease; MGC21297; SCAR7; TPP 1; TPP I; Tpp1; TPP-1; TPPI; TPP-I; Tripeptidyl aminopeptidase; tripeptidyl peptidase 1; tripeptidyl peptidase I; tripeptidyl peptidase-I; tripeptidyl-peptidase 1; Tripeptidyl-peptidase I; UNQ267/PRO304
Gene Symbols TPP1
Host Species Mouse
Immunogen Recombinant human TPP1 (aa 201-560).
Purification Method Protein A
Quantity 50 μL
Regulatory Status RUO
Primary or Secondary Primary
Gene ID (Entrez) 1200
Target Species Human
Content And Storage Maintain refrigerated at 2-8°C for up to 1 month. For long term storage store at -20°C
Product Type Antibody
Form Liquid
Isotype IgG2a
Show More Show Less
Product Title
Select an issue

By clicking Submit, you acknowledge that you may be contacted by Fisher Scientific in regards to the feedback you have provided in this form. We will not share your information for any other purposes. All contact information provided shall also be maintained in accordance with our Privacy Policy.