missing translation for 'onlineSavingsMsg'
Learn More
Learn More
Invitrogen™ CLGN Monoclonal Antibody (9C8G10)

Mouse Monoclonal Antibody
Brand: Invitrogen™ MA531704
This item is not returnable.
View return policy
Description
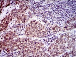
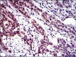
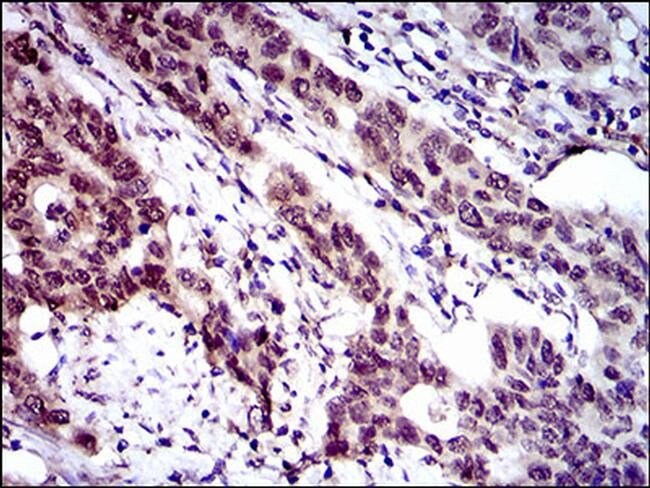
MA5-31704 has been tested in indirect ELISA.
Calmegin is a testis-specific endoplasmic reticulum chaperone protein. CLGN may play a role in spermatogeneisis and infertility.Calmegin is a testis-specific endoplasmic reticulum chaperone protein. CLGN may play a role in spermatogeneisis and infertility.
Specifications
| CLGN | |
| Monoclonal | |
| 1 mg/mL | |
| PBS with 0.05% sodium azide | |
| O14967 | |
| CLGN | |
| Purified recombinant fragment of human CLGN (AA: 249-405) expressed in E. coli. | |
| 100 μL | |
| Primary | |
| Human | |
| Antibody | |
| IgG1 |
| ELISA, Immunohistochemistry (Paraffin), Western Blot, Immunocytochemistry | |
| 9C8G10 | |
| Unconjugated | |
| CLGN | |
| 4930459O04Rik; A2/6; AI528775; Calmegin; calnexin-T; Clgn; Cln; hypothetical protein LOC504256; LOW QUALITY PROTEIN: calmegin; MEG 1 antigen; Meg1; testis tissue sperm-binding protein Li 79P | |
| Mouse | |
| Protein G | |
| RUO | |
| 1047 | |
| Store at 4°C short term. For long term storage, store at -20°C, avoiding freeze/thaw cycles. | |
| Liquid |
Product Content Correction
Your input is important to us. Please complete this form to provide feedback related to the content on this product.
Product Title
Spot an opportunity for improvement?Share a Content Correction