missing translation for 'onlineSavingsMsg'
Learn More

Invitrogen™ Citrate Synthase Monoclonal Antibody (GT2061)
GREENER_CHOICE

Mouse Monoclonal Antibody

Brand:  Invitrogen™ MA517265

Product Code. 15308250

  • £439.00 / 100µL

Please to purchase this item. Need a web account? Register with us today!

This item is not returnable. View return policy

Description

Description

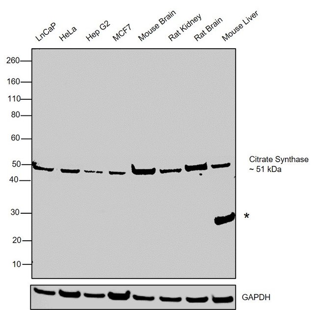
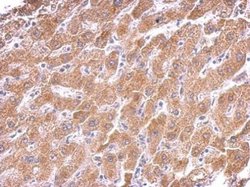
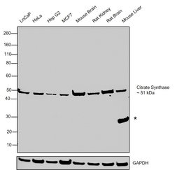
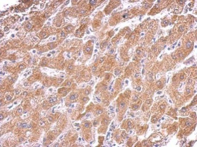
Recommended positive controls: 293T, A431, HepG2, mouse brain, rat brain, zebrafish brain, zebrafish heart. Predicted reactivity: Mouse (94%), Rat (93%), Zebrafish (90%), Xenopus laevis (91%), Pig (95%), Bovine (95%). Store product as a concentrated solution. Centrifuge briefly prior to opening the vial.

The protein encoded by this gene is a Krebs tricarboxylic acid cycle enzyme that catalyzes the synthesis of citrate from oxaloacetate and acetyl coenzyme A. The enzyme is found in nearly all cells capable of oxidative metabolism. This protein is nuclear encoded and transported into the mitochondrial matrix, where the mature form is found.
TRUSTED_SUSTAINABILITY
Specifications

Specifications

Citrate Synthase
Monoclonal
1 mg/mL
PBS with no preservative
O75390, Q7ZVY5, Q8VHF5, Q9CZU6
CS
Recombinant protein encompassing a sequence within the center region of human Citrate synthetase. The exact sequence is proprietary.
100 μL
Primary
Human, Mouse, Rat, Zebrafish
Antibody
IgG2b
Immunohistochemistry (Paraffin), Western Blot, Immunocytochemistry
GT2061
Unconjugated
CS
2610511A05Rik; 9030605P22Rik; Ahl4; BB234005; Cis; citrate (Si)-synthase; citrate synthase; citrate synthase precursor (EC 4.1.3.7); citrate synthase, mitochondrial; citrate synthetase; Cs; wu:fb58e04; zgc:55507
Mouse
Protein G
RUO
12974, 1431, 170587, 322339
Store at 4°C short term. For long term storage, store at -20°C, avoiding freeze/thaw cycles.
Liquid
Product Suggestions

Product Suggestions

Videos
SDS
Documents

Documents

Certificates
Promotions

Promotions

Product Content Correction

Your input is important to us. Please complete this form to provide feedback related to the content on this product.

Product Title

By clicking Submit, you acknowledge that you may be contacted by Fisher Scientific in regards to the feedback you have provided in this form. We will not share your information for any other purposes. All contact information provided shall also be maintained in accordance with our Privacy Policy.

Thank You! Your feedback has been submitted. Fisher Scientific is always working to improve our content for you. We appreciate your feedback.