missing translation for 'onlineSavingsMsg'
Learn More
Learn More
Invitrogen™ Chromogranin A Polyclonal Antibody

Rabbit Polyclonal Antibody
Brand: Invitrogen™ PA577917
This item is not returnable.
View return policy
Description
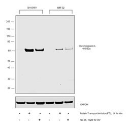
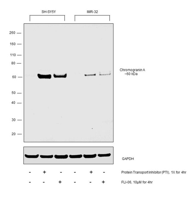
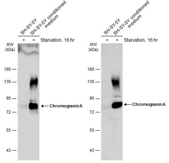
Positive Control: SH-SY-5Y conditioned medium Predicted Reactivity: Rhesus Monkey (89%) Store product as a concentrated solution. Centrifuge briefly prior to opening the vial.
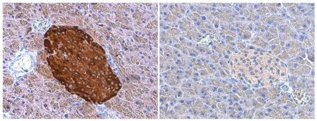
Chromogranin A (CHGA) is a member of the chromogranin/secretogranin family of neuroendocrine secretory proteins. It is found in secretory vesicles of neurons and endocine cells. CHGA is a precursor to three biologically active peptides: vasostatin, pancreastatin, and parastatin. These peptides act as autocine or paracrine negative modulators of the neuroendocrine system. CHGA is an excellent marker for carcinoid tumors, pheo-chromocytomas, paragangliomas, and other neuro-endocrine tumors. Coexpression of chromogranin A and neuron specific enolase (NSE) is common in neuroendocrine neoplasms.
Specifications
| Chromogranin A | |
| Polyclonal | |
| Unconjugated | |
| Chga | |
| AL-11; AL26; Beta-granin; betagranin (N-terminal fragment of chromogranin A); catestatin; CgA; CHGA; ChrA; chromofungin; chromogranin A; chromogranin A (parathyroid secretory protein 1); chromogranin A precursor; chromogranin-A; CTNNB; DKFZp686D02253; EA-92; ER-37; ES-43; FLJ25606; FLJ37923; GE-25; GR-44; GV-19; LF-19; LOW QUALITY PROTEIN: chromogranin-A; MGC105435; Pancreastatin; Parastatin; parathyroid secretory protein 1; p-Glu serpinin precursor; pituitary secretory protein I; Serpinin; Serpinin-RRG; SL21; SP-I; SS-18; Vasostatin I; Vasostatin II; Vasostatin-1; Vasostatin-2; WA-8; WE-14 | |
| Rabbit | |
| Antigen affinity chromatography | |
| RUO | |
| 1113, 12652 | |
| Store at 4°C short term. For long term storage, store at -20°C, avoiding freeze/thaw cycles. | |
| Liquid |
| Immunohistochemistry (Paraffin), Western Blot | |
| 0.15 mg/mL | |
| PBS with 1% BSA, 20% glycerol and 0.025% ProClin 300; pH 7 | |
| P10645, P26339 | |
| Chga | |
| Recombinant protein encompassing a sequence within the center region of human Chromogranin A. The exact sequence is proprietary. | |
| 100 μL | |
| Primary | |
| Human, Mouse | |
| Antibody | |
| IgG |
Product Content Correction
Your input is important to us. Please complete this form to provide feedback related to the content on this product.
Product Title
Spot an opportunity for improvement?Share a Content Correction