missing translation for 'onlineSavingsMsg'
Learn More
Learn More
Invitrogen™ CHM Recombinant Rabbit Monoclonal Antibody (JE61-83)

Rabbit Recombinant Monoclonal Antibody
Brand: Invitrogen™ MA544856
This item is not returnable.
View return policy
Description
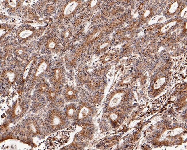
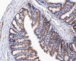
CHM Recombinant Monoclonal Antibody for Western Blot, IHC (P), ICC/IF, Flow
Substrate-binding subunit of the Rab geranylgeranyltransferase (GGTase) complex. Binds unprenylated Rab proteins and presents the substrate peptide to the catalytic component B composed of RABGGTA and RABGGTB, and remains bound to it after the geranylgeranyl transfer reaction. The component A is thought to be regenerated by transferring its prenylated Rab back to the donor membrane. Besides, a pre-formed complex consisting of CHM and the Rab GGTase dimer (RGGT or component B) can bind to and prenylate Rab proteins; this alternative pathway is proposed to be the predominant pathway for Rab protein geranylgeranylation.
Specifications
| CHM | |
| Recombinant Monoclonal | |
| 1 mg/mL | |
| TBS with 40% glycerol, 0.05% BSA and 0.05% sodium azide; pH 7.4 | |
| P24386, P37727, Q9QXG2 | |
| CHM | |
| Synthetic peptide within human CHM aa 36-85/653. | |
| 100 μL | |
| Primary | |
| Human, Mouse, Rat | |
| Antibody | |
| IgG |
| Flow Cytometry, Immunohistochemistry (Paraffin), Western Blot, Immunocytochemistry | |
| JE61-83 | |
| Unconjugated | |
| CHM | |
| CHM; CHM, Rab escort protein 1; choroideraemia protein homolog; choroideremia (Rab escort protein 1); Choroideremia protein; Choroideremia protein homolog; choroidermia; choroidermia (RAB escort protein 1); DXS540; GGTA; HSD-32; Rab escort protein 1; rab proteins geranylgeranyltransferase component A 1; REP1; REP-1; TCD; TCD protein | |
| Rabbit | |
| Protein A | |
| RUO | |
| 1121, 12662, 24942 | |
| Store at 4°C short term. For long term storage, store at -20°C, avoiding freeze/thaw cycles. | |
| Liquid |
Product Content Correction
Your input is important to us. Please complete this form to provide feedback related to the content on this product.
Product Title
Spot an opportunity for improvement?Share a Content Correction