missing translation for 'onlineSavingsMsg'
Learn More
Learn More
Invitrogen™ CHI3L1 Recombinant Rabbit Monoclonal Antibody (HL2708)

Rabbit Recombinant Monoclonal Antibody
Brand: Invitrogen™ MA556644
This item is not returnable.
View return policy
Description
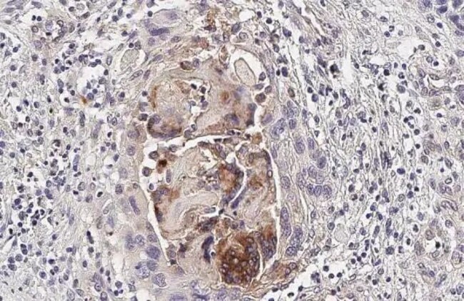
CHI3L1 Recombinant Monoclonal Antibody for Western Blot, ICC/IF, IHC (P)
Human cartilage glycoprotein 39 (GP-39), also known as YKL-40, is a glycoprotein secreted by articular chondrocytes, synoviocytes and macrophages. Serum and synovial fluid GP-39 levels are elevated in inflammatory diseases and correlate with the degree of joint destruction in rheumatoid arthritis. GP-39 is expressed in articular chondrocytes and synovial cells, as well as in liver, but is undetectable in muscle tissues, lung, pancreas, mononuclear cells and fibroblasts. GP-39 is a candidate autoantigen in rheumatoid arthritis and is important in the capacity of cells to respond to and cope with changes in their environment.
Specifications
| CHI3L1 | |
| Recombinant Monoclonal | |
| 1 mg/mL | |
| PBS with no preservative | |
| P36222 | |
| CHI3L1 | |
| Recombinant fragment of human CHI3L1. | |
| 100 μL | |
| Primary | |
| Human | |
| Antibody | |
| IgG |
| Immunohistochemistry (Paraffin), Western Blot, Immunocytochemistry | |
| HL2708 | |
| Unconjugated | |
| CHI3L1 | |
| 38 kDa heparin-binding glycoprotein; 38kDa heparin-binding glycoprotein; 39 kDa synovial protein; 39 kDa whey protein; 40 kDa secretory signalling glycoprotein; ASRT7; AW208766; BP40; BP40 precursor; breast regression protein 39; Brp39; BRP39 protein; Cartilage glycoprotein 39; cartilage glycoprotein-39; CGP39; CGP-39; CHI3L1; Chil1; chitinase 3 like 1; Chitinase 3 like protein 1CGP 39; chitinase 3-like 1; chitinase 3-like 1 (cartilage glycoprotein-39); chitinase 3-like 1 protein; chitinase-3-like protein 1; chitinase-like 1; chitinase-like protein 1; CLP-1; DKFZp686N19119; FLJ38139; GP38K; Gp39; GP-39; hCGP39; HC-gp39; hCGP-39; HCGP-3P; Mammary gland protein 40; MGP-40; signal processing protein; signal-processing protein; SPC-40; SPS-40; YKL40; YKL-40; YYL-40 | |
| Rabbit | |
| Protein A | |
| RUO | |
| 1116 | |
| -20°C, Avoid Freeze/Thaw Cycles | |
| Liquid |
Product Content Correction
Your input is important to us. Please complete this form to provide feedback related to the content on this product.
Product Title
Spot an opportunity for improvement?Share a Content Correction