missing translation for 'onlineSavingsMsg'
Learn More
Learn More
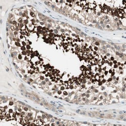
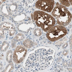
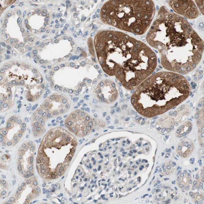
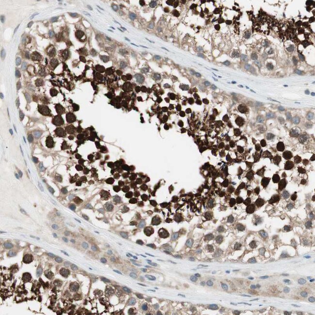
Invitrogen™ CGRRF1 Polyclonal Antibody

Rabbit Polyclonal Antibody
Brand: Invitrogen™ PA551779
This item is not returnable.
View return policy
Description
Immunogen sequence: IYDIISMVSV IHIPDRTYKL SCRILYQYLL LAQGQFHDLK QLFMSANNNF TPSNNSSSEE KNTDRSLLEK VGLSESEVEP SEENSKDCVV CQNGTVNWVL LPCRHTCLCD GCVKYFQQCP MCRQFVQESF ALCSQKEQDK DKPK Highest antigen sequence identity to the following orthologs: Mouse - 76%, Rat - 76%.
CGRRF1 is able to inhibit growth in several cell lines.
Specifications
| CGRRF1 | |
| Polyclonal | |
| Unconjugated | |
| CGRRF1 | |
| 1110038G02Rik; 1810009H17Rik; cell growth regulator with ring finger domain 1; cell growth regulator with RING finger domain protein 1; Cell growth regulatory gene 19 protein; cell growth regulatory with ring finger domain; CGR19; Cgrrf1; RING finger protein 197; RNF197 | |
| Rabbit | |
| Antigen affinity chromatography | |
| RUO | |
| 10668 | |
| Store at 4°C short term. For long term storage, store at -20°C, avoiding freeze/thaw cycles. | |
| Liquid |
| Immunohistochemistry (Paraffin), Western Blot, Immunocytochemistry | |
| 0.3 mg/mL | |
| PBS with 40% glycerol and 0.02% sodium azide; pH 7.2 | |
| Q99675 | |
| CGRRF1 | |
| Recombinant protein corresponding to Human CGRRF1. Recombinant protein control fragment (Product #RP-89080). | |
| 100 μL | |
| Primary | |
| Human | |
| Antibody | |
| IgG |
Product Content Correction
Your input is important to us. Please complete this form to provide feedback related to the content on this product.
Product Title
Spot an opportunity for improvement?Share a Content Correction