Learn More
Invitrogen™ CETP Polyclonal Antibody

Rabbit Polyclonal Antibody
Brand: Invitrogen™ PA589297
Description
Immunogen sequence: LMLSLMGDEF KAVLETWGFN TNQEIFQEVV GGFPSQAQVT VHCLKMPKIS CQNKGVVVNS SVMVKFLFPR PDQQHSVAYT FEEDIVTTVQ ASYSKKKLFL SLLDFQITPK TVSNLTESSS ESVQSFLQSM ITAVGIPEVM SRLEVVFTAL MNSKGVSLFD IINPEIITRD GFLLLQMDFG FPEHLLVDFL QSLS; Positive Samples: A-549, HepG2, A375, Mouse liver, Rat liver; Cellular Location: extracellular space.
It has been proposed that high density lipoproteins (HDLs) function jointly with lecithin:cholesterol acyltransferase and CETP to facilitate cholesterol transport from tissues to the liver. This mechanism, referred to as reverse cholesterol transport, is physiologically important because it maintains systemic cholesterol levels. CETP is responsible for neutral lipid transfer activity in plasma in numerous species. Since CETP is able to accelerate specifically the exchange of lipid components between pro- and anti-atherogenic lipoprotein fractions, it may be a key determinant of the global atherogenicity of the plasma lipoprotein profile and arises as a possible target in atherosclerosis prevention. CETP has an important role in reverse cholesterol transport and shaping and affecting the composition of plasma lipoproteins. In general elevated levels of CETP have been associated with increased risk of coronary heart disease.
Specifications
| CETP | |
| Polyclonal | |
| Unconjugated | |
| CETP | |
| BPI fold containing family F; BPIFF; CETP; Cholesteryl ester transfer protein; cholesteryl ester transfer protein plasma; cholesteryl ester transfer protein, plasma; HDLCQ10; Lipid transfer protein I | |
| Rabbit | |
| Affinity chromatography | |
| RUO | |
| 1071 | |
| -20°C, Avoid Freeze/Thaw Cycles | |
| Liquid |
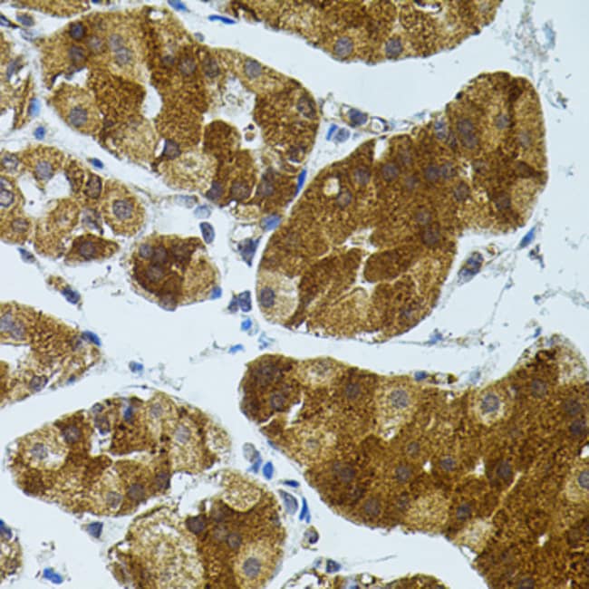
| ELISA, Immunohistochemistry (Paraffin), Western Blot | |
| 1.07 mg/mL | |
| PBS with 50% glycerol and 0.02% sodium azide; pH 7.3 | |
| P11597 | |
| CETP | |
| Recombinant fusion protein containing a sequence corresponding to amino acids 300-493 of human CETP (NP_0000692). | |
| 100 μL | |
| Primary | |
| Human, Mouse, Rat | |
| Antibody | |
| IgG |
Your input is important to us. Please complete this form to provide feedback related to the content on this product.