missing translation for 'onlineSavingsMsg'
Learn More
Learn More
Invitrogen™ CES1 Polyclonal Antibody

Description
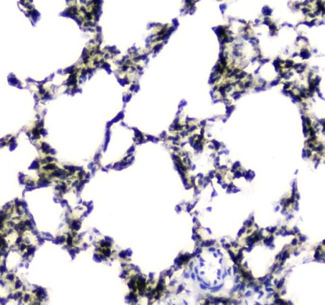
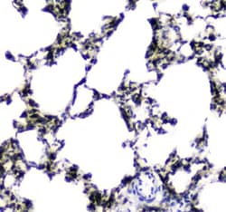
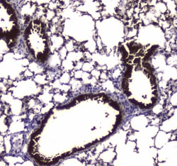
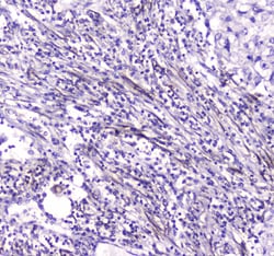
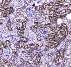
Reconstitute with 0.2 mL of distilled water to yield a concentration of 500 μg/mL. Positive Control - WB: human THP-1 whole cell, rat liver tissue, mouse HEPA1-6 whole cell. IHC: mouse kidney tissue, human lung cancer tissue, mouse lung tissue, rat lung tissue. ICC/IF: HepG2 cell. Flow: HepG2 cell.
This gene encodes a member of the carboxylesterase large family. The family members are responsible for the hydrolysis or transesterification of various xenobiotics, such as cocaine and heroin, and endogenous substrates with ester, thioester, or amide bonds. They may participate in fatty acyl and cholesterol ester metabolism, and may play a role in the blood-brain barrier system. This enzyme is the major liver enzyme and functions in liver drug clearance. Mutations of this gene cause carboxylesterase 1 deficiency. Three transcript variants encoding three different isoforms have been found for this gene.
Specifications
Specifications
| Antigen | CES1 |
| Applications | ELISA, Flow Cytometry, Immunohistochemistry (Paraffin), Western Blot, Immunocytochemistry |
| Classification | Polyclonal |
| Concentration | 500 μg/mL |
| Conjugate | Unconjugated |
| Formulation | PBS with 4mg trehalose and 0.05mg sodium azide |
| Gene | CES1 |
| Gene Accession No. | P10959, P23141, P23953, Q63108, Q64176, Q8VCC2 |
| Gene Alias | ACAT; acyl coenzyme A:cholesterol acyltransferase; acyl-coenzyme A:cholesterol acyltransferase; Brain carboxylesterase hBr1; carboxyesterase ES-3; carboxylesterase 1; carboxylesterase 1 (monocyte/macrophage serine esterase 1); carboxylesterase 1A; carboxylesterase 1E; Carboxylesterase 1G; carboxylesterase 1-like; carboxylesterase 2 (liver); CE-1; CEH; Ces1; Ces-1; Ces1a; Ces1e; Ces1g; Ces1l; CES2; cholesteryl ester hydrolase; cocaine carboxylesterase; Eg; EG244595; Egasyn; Es22; Es-22; ES-HTEL; esterase 22; esterase-22; ES-x; Gm4976; hCE-1; HMSE; HMSE1; human monocyte/macrophage serine esterase 1; liver carboxylesterase 1; Liver carboxylesterase 22; liver carboxylesterase 3; methylumbelliferyl-acetate deacetylase 1; MGC117365; Monocyte/macrophage serine esterase; PCE-1; pI 5.5 esterase; REH; Retinyl ester hydrolase; serine esterase 1; SES1; Ses-1; TGH; triacylglycero; Triacylglycerol hydrolase |
| Gene Symbols | CES1, Ces1a, Ces1c, Ces1e, Ces1g |
| Show More |
Product Title
By clicking Submit, you acknowledge that you may be contacted by Fisher Scientific in regards to the feedback you have provided in this form. We will not share your information for any other purposes. All contact information provided shall also be maintained in accordance with our Privacy Policy.
Spot an opportunity for improvement?