missing translation for 'onlineSavingsMsg'
Learn More
Learn More
Invitrogen™ CDR2L Polyclonal Antibody

Rabbit Polyclonal Antibody
Brand: Invitrogen™ PA5112378
This item is not returnable.
View return policy
Description
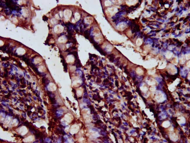
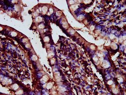
CDR2L Polyclonal Antibody for Western Blot, IHC (P), ELISA
The function of CDR2L remains unknown.
Specifications
| CDR2L | |
| Polyclonal | |
| Unconjugated | |
| Cdr2l | |
| CDR2L; cerebellar degeneration related protein 2 like; cerebellar degeneration-related protein 2-like; D030068L24Rik; Gm21; HUMPPA; Paraneoplastic 62 kDa antigen; paraneoplastic antigen; RGD1306881 | |
| Rabbit | |
| Protein G | |
| RUO | |
| 30850 | |
| -20°C or -80°C if preferred | |
| Liquid |
| ELISA, Immunohistochemistry (Paraffin), Western Blot | |
| 3.57 mg/mL | |
| PBS with 50% glycerol and 0.03% ProClin 300; pH 7.4 | |
| Q86X02 | |
| Cdr2l | |
| Recombinant Human Cerebellar degeneration-related protein 2-like protein (376-465AA). | |
| 100 μg | |
| Primary | |
| Human | |
| Antibody | |
| IgG |
Product Content Correction
Your input is important to us. Please complete this form to provide feedback related to the content on this product.
Product Title
Spot an opportunity for improvement?Share a Content Correction