Learn More
Invitrogen™ CDK9 Polyclonal Antibody

Rabbit Polyclonal Antibody
Brand: Invitrogen™ PA587517
Description
Immunogen sequence: ANVLITRDGV LKLADFGLAR AFSLAKNSQP NRYTNRVVTL WYRPPELLLG ERDYGPPIDL WGAGCIMAEM WTRSPIMQGN TEQHQLALIS QLCGSITPEV WPNVDNYELY EKLELVKGQK RKVKDRLKAY VRDPYALDLI DKLLVLDPAQ RIDSDDALNH DFFWSDPMPS DLKGMLSTHL TSMFEYLAPP RRKGSQITQQ STNQSRNPAT TNQTEFERVF; Positive Samples: LO2, HeLa, A-549, SKOV3, Mouse brain, Rat testis; Cellular Location: Cytoplasm, Nucleus, PML body.
CDK9 is a serine/threonine kinase which when complexed with CyclinT1 forms an active holoenzyme complex. This complex plays a key role in regulating the eukaryotic cell cycle. CDK9 is coexpressed and copurified with CyclinT1. CDK9 regulates cytokine inducible transcription networks by facilitating promoter recognition of target transcription factors. CDK9 promotes RNA synthesis in genetic programs for cell growth, differentiation, and viral pathogenesis. The CDK9/cyclin-K complex also has kinase activity towards CTD of RNAPII and can substitute for CDK9/cyclin-T P-TEFb in vitro. Chronic activation of CDK9 causes cardiac myocyte enlargement leading to cardiac hypertrophy and confers a predisposition to heart failure.
Specifications
| CDK9 | |
| Polyclonal | |
| Unconjugated | |
| CDK9 | |
| C-2k; CDC2L4; CDC2-related kinase; Cdk9; Cell division cycle 2-like protein kinase 4; Cell division protein kinase 9; CTK1; cyclin dependent kinase 9; cyclin-dependent kinase 9; cyclin-dependent kinase 9 (CDC2-related kinase); PITALRE; RP11-228B15.5; serine/threonine protein kinase PITALRE; Serine/threonine-protein kinase PITALRE; TAK; Tat-associated kinase complex catalytic subunit | |
| Rabbit | |
| Affinity Chromatography | |
| RUO | |
| 1025, 107951, 362110 | |
| -20°C, Avoid Freeze/Thaw Cycles | |
| Liquid |
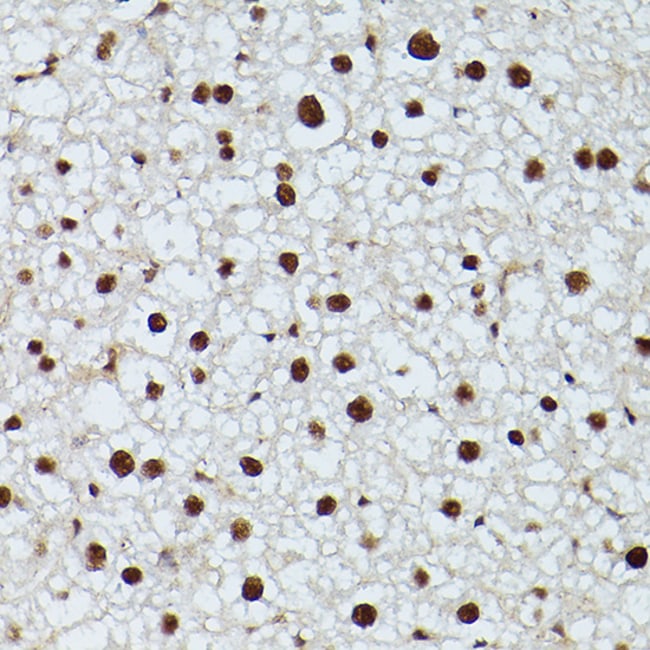
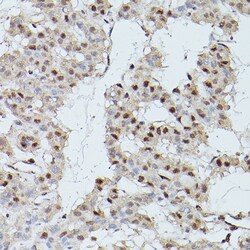
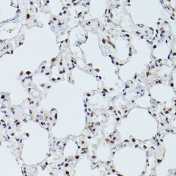
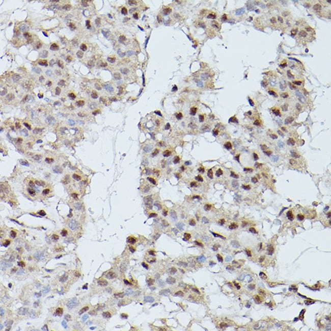
| ELISA, Immunohistochemistry (Paraffin), Western Blot, Immunocytochemistry | |
| 1.6 mg/mL | |
| PBS with 50% glycerol and 0.02% sodium azide; pH 7.3 | |
| P50750, Q641Z4, Q99J95 | |
| CDK9 | |
| Recombinant fusion protein containing a sequence corresponding to amino acids 153-372 of human CDK9 (NP_0012521). | |
| 100 μL | |
| Primary | |
| Human, Mouse, Rat | |
| Antibody | |
| IgG |
Your input is important to us. Please complete this form to provide feedback related to the content on this product.