missing translation for 'onlineSavingsMsg'
Learn More

CDK6 Monoclonal Antibody (K6.83 (DCS-83)), Invitrogen™

Mouse Monoclonal Antibody

Brand:  Invitrogen AHZ0232

Product Code. 10405853

This item is currently unavailable or has been discontinued.
View the product page for possible alternatives.
View alternative products »

This item is not returnable. View return policy

Description

Description

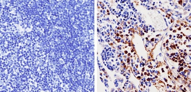
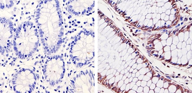
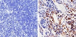
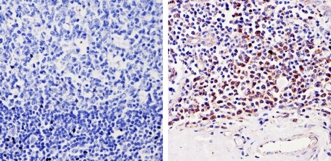
This antibody recognizes and epitope at aa 30-65.

CDK6 functions as a cell-cycle initiator protein. This protein is coexpressed and copurified with CyclinD1. They are critical regulators of cell cycle progression. The prototype member of this family, p34cdc2, and a related protein cdk2, function late in the cycle while cdk4 and cdk6 are critically involved in G1 to S progression. CDK6 is essential for cell proliferation within the dentate gyrus of the hippocampus and the cuventricular zone of the lateral ventricles. Mutations in the gene results in microcephaly 12, primary, autosomal recessive (MCPH12).
TRUSTED_SUSTAINABILITY
Specifications

Specifications

CDK6
Monoclonal
0.2 mg/mL
PBS with 0.2% BSA and 0.09% sodium azide; pH 7.4
Q00534, Q64261
CDK6
Purified recombinant cdk6 protein.
500 μL
Primary
Human, Mouse, Rat
Antibody
IgG1
Immunocytochemistry, Immunohistochemistry (Frozen), Immunohistochemistry (Paraffin), Immunoprecipitation, Western Blot
K6.83 (DCS-83)
Unconjugated
CDK6
5830411I20; AI504062; CDK6; CDKN6; Cell division protein kinase 6; CR2 protein kinase; Crk2; cyclin dependent kinase 6; cyclin-dependent kinase 6; MCPH12; MGC59692; PLSTIRE; Serine/threonine-protein kinase PLSTIRE
Mouse
Protein G
RUO
1021, 114483, 12571
4° C
Liquid
Product Suggestions

Product Suggestions

Videos
SDS
Documents

Documents

Certificates
Promotions

Promotions

Product Content Correction

Your input is important to us. Please complete this form to provide feedback related to the content on this product.

Product Title

By clicking Submit, you acknowledge that you may be contacted by Fisher Scientific in regards to the feedback you have provided in this form. We will not share your information for any other purposes. All contact information provided shall also be maintained in accordance with our Privacy Policy.

Thank You! Your feedback has been submitted. Fisher Scientific is always working to improve our content for you. We appreciate your feedback.