missing translation for 'onlineSavingsMsg'
Learn More
Learn More
Cdc20 Rabbit anti-Human, Clone: CDC20/7026R, Novus Biologicals™
Rabbit Monoclonal Antibody
Brand: Novus Biologicals NBP3-13820-100UG
This item is not returnable.
View return policy
Description
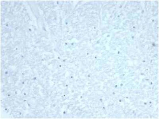
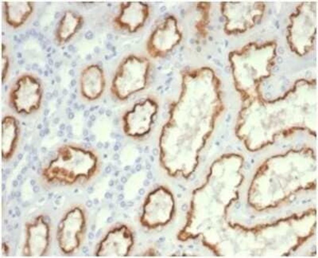
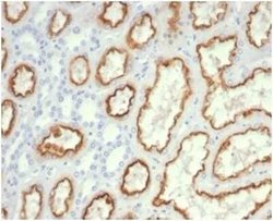
Cdc20 Monoclonal antibody specifically detects Cdc20 in Human samples. It is validated for Immunohistochemistry (Paraffin)
Specifications
| Cdc20 | |
| Monoclonal | |
| 0.2 mg/ml | |
| Immunohistochemistry-Paraffin 1-2 ug/ml | |
| Q12834 | |
| Rabbit | |
| Protein A or G purified | |
| RUO | |
| Primary | |
| Human | |
| Purified |
| Immunohistochemistry (Paraffin) | |
| CDC20/7026R | |
| Unconjugated | |
| 10 mM PBS with 0.05% BSA | |
| CDC20 cell division cycle 20 homolog, CDC20 cell division cycle 20 homolog (S. cerevisiae), cell division cycle 20 homolog (S. cerevisiae), cell division cycle protein 20 homolog, MGC102824, p55CDCS. cerevisiae, homolog) | |
| Recombinant human Cdc20 protein (Uniprot: Q12834 ) | |
| 100 μg | |
| Cell Cycle and Replication, Core ESC Like Genes, Stem Cell Markers | |
| 991 | |
| Store at 4°C. | |
| IgG κ |
Product Content Correction
Your input is important to us. Please complete this form to provide feedback related to the content on this product.
Product Title
Spot an opportunity for improvement?Share a Content Correction