Learn More
Invitrogen™ CD49c (Integrin alpha 3) Polyclonal Antibody

Rabbit Polyclonal Antibody
Brand: Invitrogen™ PA579528
Description
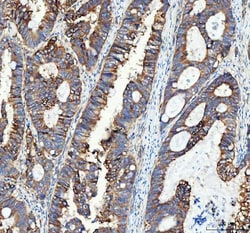
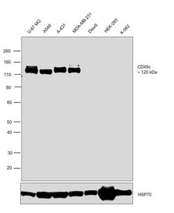
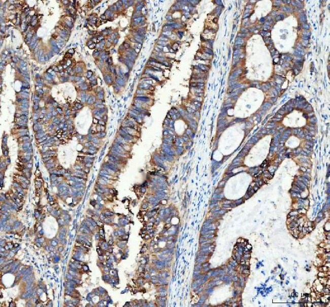
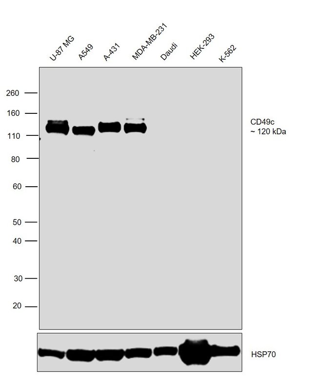
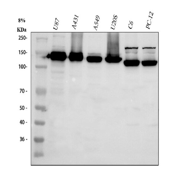
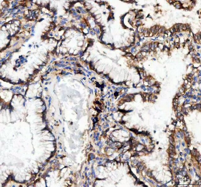
Reconstitute with 0.2 mL of distilled water to yield a concentration of 500 μg/mL. Positive Control - WB: human U87 whole cell, human A431 whole cell, human A549 whole cell, human U2OS whole cell, rat C6 whole cell, rat PC-12 whole cell. IHC: human lung cancer tissue, human colorectal adenocarcinoma tissue. ICC/IF: A431 cell. Flow: U87 cell.
ITGA3 (INTEGRIN, ALPHA-3), also called CD49C, VLA3 or GAPB3, is a protein that in humans is encoded by the ITGA3 gene. ITGA3 is an integrin alpha subunit which is also a member of the family of cell surface adhesion molecules. ITGA3 is mapped to chromosome 17 and its exact cytogenetic location is 17q21.33. ITGA3 makes up half of the alpha3beta1 integrin duplex that plays a role in neural migration and corticogenesis together with beta-1 subunit. A functional link between DAB1 phosphorylation and ITGA3 signaling drives the timely detachment of migrating neurons from radial glial fibers. Expression of human ITGA3 increased the infectivity of virus for Chinese hamster ovary cells. ITGA3 also contains 13 potential N-glycosylation sites, 2 potential cleavage sites, and the 7 N-terminal repeating units characteristic of ITGAs. Recombinant ITGA3 is expressed as a 150-kD protein as the same size as the native protein by the western blot analysis.
Specifications
| CD49c (Integrin alpha 3) | |
| Polyclonal | |
| Unconjugated | |
| ITGA3 | |
| AA407068; alpha 3 subunit of VLA-3 receptor; Alpha3 integrin; antigen CD49C; antigen identified by monoclonal antibody J143; CD49 antigen-like family member C; CD49c; CD49c antigen; FLJ34631; FLJ34704; FRP-2; Galactoprotein B3; GAPB3; GAP-B3; ILNEB; integrin alpha 3; Integrin alpha3; Integrin alpha-3; Integrin alpha-3 heavy chain; Integrin alpha-3 light chain; integrin subunit alpha 3; integrin, alpha 3; integrin, alpha 3 (antigen CD49C, alpha 3 subunit of VLA-3 receptor); ITGA3; MSK18; testicular tissue protein Li 96; testicular tissue protein Li 98; VCA-2; very late activation protein 3 receptor, alpha-3 subunit; VL3A; VLA-3 subunit alpha; VLA3a | |
| Rabbit | |
| Antigen affinity chromatography | |
| RUO | |
| 360606, 3675 | |
| -20°C | |
| Lyophilized |
| Flow Cytometry, Immunohistochemistry (Paraffin), Western Blot, Immunocytochemistry | |
| 500 μg/mL | |
| PBS with 5mg BSA and 0.05mg sodium azide, 0.05mg thimerosal | |
| P26006 | |
| ITGA3 | |
| A synthetic peptide corresponding to a sequence at the N-terminus of human Integrin alpha 3 (51-67aa LFGYSVALHRQTERQQR). | |
| 100 μg | |
| Primary | |
| Human, Rat | |
| Antibody | |
| IgG |
Your input is important to us. Please complete this form to provide feedback related to the content on this product.