missing translation for 'onlineSavingsMsg'
Learn More

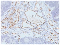
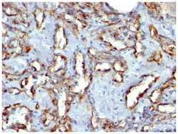
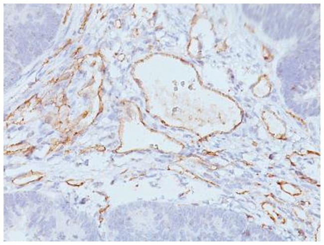
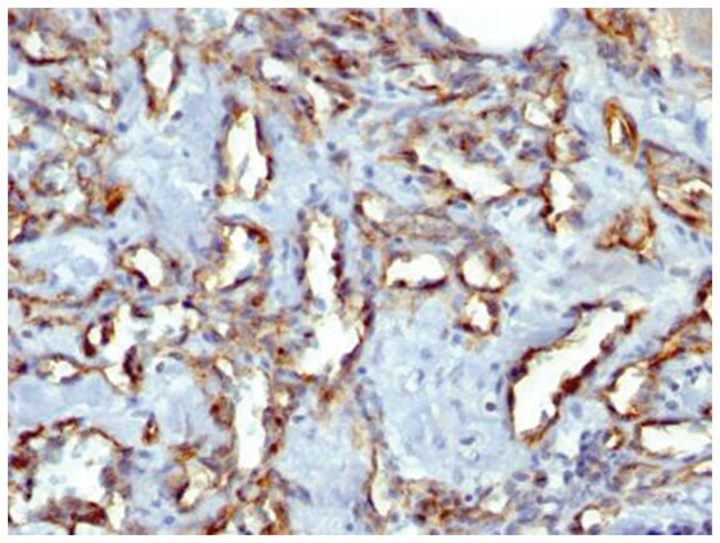
CD31/PECAM-1 Mouse, Clone: C31.3 + JC/70A, Novus Biologicals™

Mouse Monoclonal Antibody has been used in 3 publications

Brand:  Novus Biologicals NBP2-34283-0.02MG

 View more versions of this product

Product Code. 18167253

  • £232.00 / 0.02mg

Please to purchase this item. Need a web account? Register with us today!

This item is not returnable. View return policy

Description

Description

CD31/PECAM-1 Monoclonal specifically detects CD31/PECAM-1 in Human, Primate, Rabbit samples. It is validated for Flow Cytometry, Immunohistochemistry, Immunocytochemistry/Immunofluorescence, Immunohistochemistry-Paraffin.
TRUSTED_SUSTAINABILITY
Specifications

Specifications

CD31/PECAM-1
Monoclonal
Unconjugated
10mM PBS and 0.05% BSA with 0.05% Sodium Azide
adhesion molecule, CD31, CD31 antigen, CD31/EndoCAM, EndoCAM, FLJ34100, FLJ58394, GPIIA', PECA1, PECAM-1, PECAM-1, CD31/EndoCAM, platelet endothelial cell adhesion molecule, platelet/endothelial cell adhesion molecule
Mouse
Protein A or G purified
RUO
Primary
CD31 (PECAM-1) is a transmembrane glycoprotein member of the immunoglobulin supergene family of adhesion molecules. CD31 is expressed by stem cells of the hematopoietic system and is primarily used to identify and concentrate these cells for experimental studies as well as for bone marrow transplantation. Anti-CD31 has shown to be highly specific and sensitive for vascular endothelial cells. Staining of nonvascular tumors (excluding hematopoietic neoplasms) is rare. CD31 MAb reacts with normal, benign, and malignant endothelial cells which make up blood vessel lining. The level of CD31 expression can help to determine the degree of tumor angiogenesis, and a high level of CD31 expression may imply a rapidly growing tumor and potentially a predictor of tumor recurrence.
Store at 4C.
IgG
Flow Cytometry, Immunohistochemistry, Immunocytochemistry, Immunofluorescence, Immunohistochemistry (Paraffin)
C31.3 + JC/70A
Flow Cytometry 0.5-1ug/million cells, Immunohistochemistry, Immunocytochemistry/Immunofluorescence 0.5-1ug/ml, Immunohistochemistry-Paraffin 0.5-1ug/ml
P16284
PECAM1
Human recombinant CD31 protein (C31.3) & Membrane preparation of a spleen from a patient with hairy cell leukemia (JC/70A)
0.02 mg
Angiogenesis, Cancer, Cellular Markers, Cytoskeleton Markers, Embryonic Stem Cell Markers, Endothelial Cell Markers, Extracellular Matrix, Hematopoietic Stem Cell Markers, Immunology, Mesenchymal Stem Cell Markers, Myeloid Cell Markers, Signal Transduction, Stem Cell Markers
5175
Human, Primate, Rabbit
Purified
Product Suggestions

Product Suggestions

Videos
SDS
Documents

Documents

Certificates
Promotions

Promotions

Product Content Correction

Your input is important to us. Please complete this form to provide feedback related to the content on this product.

Product Title

By clicking Submit, you acknowledge that you may be contacted by Fisher Scientific in regards to the feedback you have provided in this form. We will not share your information for any other purposes. All contact information provided shall also be maintained in accordance with our Privacy Policy.

Thank You! Your feedback has been submitted. Fisher Scientific is always working to improve our content for you. We appreciate your feedback.