missing translation for 'onlineSavingsMsg'
Learn More

CD27/TNFRSF7 Antibody (JB40-98), Novus Biologicals™

Product Code. 18375920 Shop All Bio Techne Products
Change view
Click to view available options
Quantity:
100 μL
Unit Size:
100µL
1 product options available for selection
Product selection table with 1 available options. Use arrow keys to navigate and Enter or Space to select.
Product Code. Quantity unitSize
18375920 100 μL 100µL
Use arrow keys to navigate between rows. Press Enter or Space to select a product option. 1 options available.
1 options
This item is not returnable. View return policy
Product Code. 18375920 Supplier Novus Biologicals Supplier No. NBP275434

Please to purchase this item. Need a web account? Register with us today!

This item is not returnable. View return policy

Rabbit Monoclonal Antibody

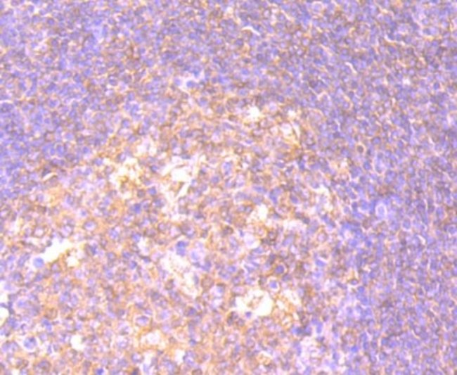
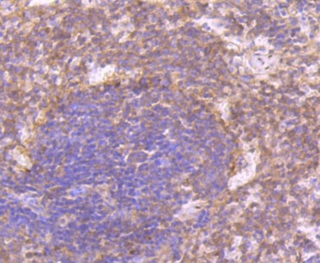
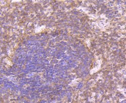
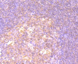
CD27/TNFRSF7 Monoclonal specifically detects CD27/TNFRSF7 in Human, Rat samples. It is validated for Western Blot, Flow Cytometry, Immunocytochemistry/Immunofluorescence, Immunohistochemistry-Paraffin.
TRUSTED_SUSTAINABILITY

Specifications

Antigen CD27/TNFRSF7
Applications Western Blot, Flow Cytometry, Immunohistochemistry, Immunocytochemistry, Immunofluorescence, Immunohistochemistry (Paraffin)
Classification Monoclonal
Clone JB40-98
Concentration 1 mg/mL
Conjugate Unconjugated
Dilution Western Blot 1:100-1:2000, Flow Cytometry 1:10-1:1000, Immunohistochemistry 1:10 - 1:500, Immunocytochemistry/Immunofluorescence 1:10 - 1:500, Immunohistochemistry-Paraffin
Formulation TBS (pH7.4), 0.05% BSA, 40% Glycerol with 0.05% Sodium Azide
Gene Alias CD27 antigen, CD27 molecule, MGC20393, S152CD27L receptor, T cell activation antigen CD27, T cell activation antigen S152, T14, TNFRSF7T-cell activation antigen CD27, Tp55, Tumor necrosis factor receptor superfamily member 7, tumor necrosis factor receptor superfamily, member 7
Gene Symbols CD27
Host Species Rabbit
Immunogen Synthetic peptide corresponding to Human CD27/TNFRSF7 aa 51-100/ 260. (SwissProt: P26842 Human; SwissProt: Q501W2 Rat)
Molecular Weight of Antigen 29 kDa
Purification Method Protein A purified
Quantity 100 μL
Research Discipline Apoptosis, B Cell Development and Differentiation Markers, Cancer, Immunology, Innate Immunity
Primary or Secondary Primary
Gene ID (Entrez) 939.0
Target Species Human, Rat
Content And Storage Store at 4°C short term. Aliquot and store at -20°C long term. Avoid freeze-thaw cycles.
Form Purified
Isotype IgG
Show More Show Less
Product Title
Select an issue

By clicking Submit, you acknowledge that you may be contacted by Fisher Scientific in regards to the feedback you have provided in this form. We will not share your information for any other purposes. All contact information provided shall also be maintained in accordance with our Privacy Policy.