missing translation for 'onlineSavingsMsg'
Learn More

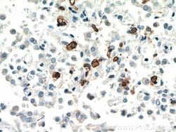
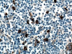
CD11B/Integrin alpha M Rabbit anti-Human, Polyclonal, Proteintech

Rabbit Polyclonal Antibody

Brand:  Proteintech 21851-1-AP-20UL

 View more versions of this product

Product Code. 16831405

  • £135.00 / 20µL

Please to purchase this item. Need a web account? Register with us today!

This item is not returnable. View return policy

Description

Description

CD11b (integrin alpha-M, ITGAM, integrin alpha-X, ITGAX) is a 165 kDa adhesion molecule that associates non-covalently with integrin beta-2 (CD18). The CD11b/CD18 heterodimeric complex is also known as integrin alpha-M beta-2, Mac-1, and CR3 (complement receptor 3). CD11b is expressed on the surface of monocytes/macrophages, granulocytes, activated lymphocytes, a subset of NK cells, a subset of dendritic cells, and microglia in the brain. CD11b/CD18 functions as the receptor for ICAM-1 (CD54), ICAM-2 (CD102), ICAM-4 (CD242), CD14, CD50, CD23, heparin, iC3b, fibrinogen, and Factor X -these adhesions are critical for cell-cell and cell-matrix interactions. CD11b is expressed on 8% of spleen cells, 44% of bone marrow cells, and less than 1% of thymocytes, and is commonly used as a microglial marker in nervous tissue. The expression of CD11b increases during monocyte maturation and expression levels vary on tissue macrophages. Further, peritoneal macrophages are reported to express higher levels of CD11b than splenic macrophages. Diseases associated with CD11b dysfunction include systemic lupus erythematosus 6 and ITGAM-related susceptibility to systemic lupus erythematosus.
Specifications

Specifications

CD11B/Integrin alpha M
Polyclonal
Unconjugated
ITGAM
CD11B, CR 3 alpha chain, CR3A, Integrin alpha M, ITGAM, MAC 1, MAC1A, MO1A, Neutrophil adherence receptor, SLEB6
Rabbit
Antigen Affinity Chromatography
RUO
3684
-20°C
Liquid
Immunohistochemistry (Paraffin)
0.31 mg/mL
PBS with 50% glycerol and 0.02% sodium azide; pH 7.3
P11215
ITGAM
CD11B/Integrin alpha M Fusion Protein Ag16327
20 μL
Primary
Human
Antibody
IgG
Product Suggestions

Product Suggestions

Videos
SDS
Documents

Documents

Certificates
Promotions

Promotions

Product Content Correction

Your input is important to us. Please complete this form to provide feedback related to the content on this product.

Product Title

By clicking Submit, you acknowledge that you may be contacted by Fisher Scientific in regards to the feedback you have provided in this form. We will not share your information for any other purposes. All contact information provided shall also be maintained in accordance with our Privacy Policy.

Thank You! Your feedback has been submitted. Fisher Scientific is always working to improve our content for you. We appreciate your feedback.