missing translation for 'onlineSavingsMsg'
Learn More

Invitrogen™ CCR1 Recombinant Rabbit Monoclonal Antibody (HL3034)

Rabbit Recombinant Monoclonal Antibody

Brand:  Invitrogen™ MA556627

Product Code. 30276560

  • £434.00 / 100µL

Please to purchase this item. Need a web account? Register with us today!

This item is not returnable. View return policy

Description

Description

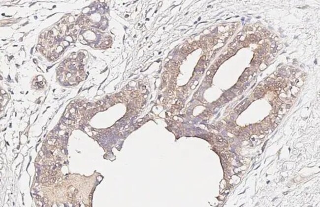
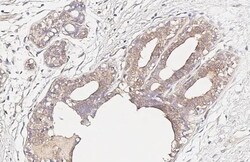
CCR1 Recombinant Monoclonal Antibody for ICC/IF, IHC (P), Western Blot

Chemokines play important roles in inflammation and are critical for the recruitment of effector immune cells to sites of infection. Chemokines activate leukocytes by binding to G protein coupled receptors. The ever-growing chemokine receptor subtypes can be divided into 2 major groups, CXCR and CCR, based on the 2 major classes of chemokines. One of the CCR receptors, CCR1, is expressed on neutrophils, monocytes, lymphocytes, and eosinophils and binds the leukocyte chemoattractant and hemopoiesis regulator macrophage-inflammatory protein (MIP-1 ), eotaxin, as well as several other related chemokines. Mice lacking the chemokine receptor CCR1 have defects in neutrophil trafficking and proliferation.
TRUSTED_SUSTAINABILITY
Specifications

Specifications

CCR1
Recombinant Monoclonal
1 mg/mL
PBS with no preservative
P32246
CCR1
Synthetic peptide encompassing a sequence within the Intracellular domain of human CCR1. The exact sequence is proprietary.
100 μL
Primary
Human
Antibody
IgG
Immunohistochemistry (Paraffin), Western Blot, Immunocytochemistry
HL3034
Unconjugated
CCR1
C-C chemokine receptor type 1; C-C CKR-1; C-C motif chemokine receptor 1; CC-CKR-1; Ccr1; CCR-1; CD191; chemokine (C-C motif) receptor 1; chemokine (C-C) receptor 1; CKR1; CKR-1; CMKBR1; CMKR1; HM145; LD78 receptor; macrophage inflammatory protein 1-alpha receptor; macrophage inflammatory protein-1 alpha receptor; MIP-1 alpha R; MIP-1 alphaR; MIP-1alpha-R; MIP1aR; Mip-1a-R; RANTES receptor; RANTES-R; SCYAR1
Rabbit
Protein A
RUO
1230
-20°C, Avoid Freeze/Thaw Cycles
Liquid
Product Suggestions

Product Suggestions

Videos
SDS
Documents

Documents

Certificates
Promotions

Promotions

Product Content Correction

Your input is important to us. Please complete this form to provide feedback related to the content on this product.

Product Title

By clicking Submit, you acknowledge that you may be contacted by Fisher Scientific in regards to the feedback you have provided in this form. We will not share your information for any other purposes. All contact information provided shall also be maintained in accordance with our Privacy Policy.

Thank You! Your feedback has been submitted. Fisher Scientific is always working to improve our content for you. We appreciate your feedback.