missing translation for 'onlineSavingsMsg'
Learn More
Learn More
Invitrogen™ CCNB1IP1 Monoclonal Antibody (OTI4H3)

Mouse Monoclonal Antibody
Brand: Invitrogen™ MA525504
This item is not returnable.
View return policy
Description
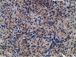
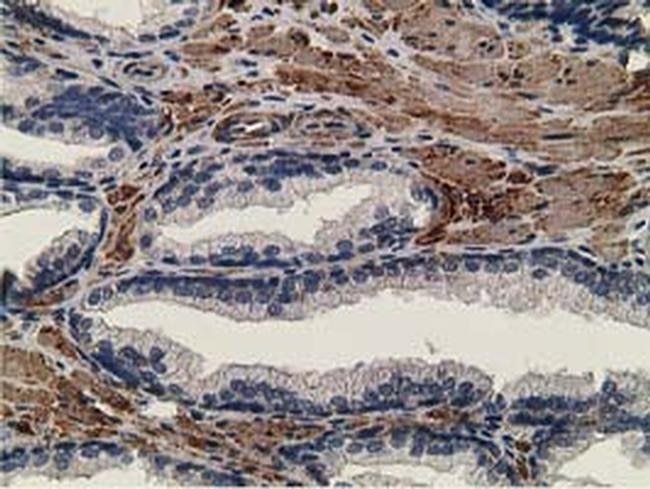
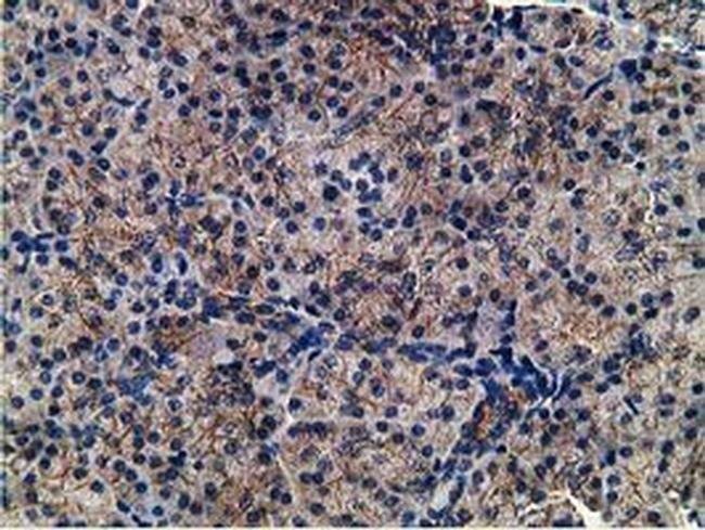
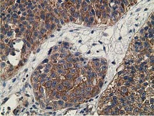
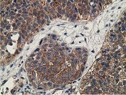
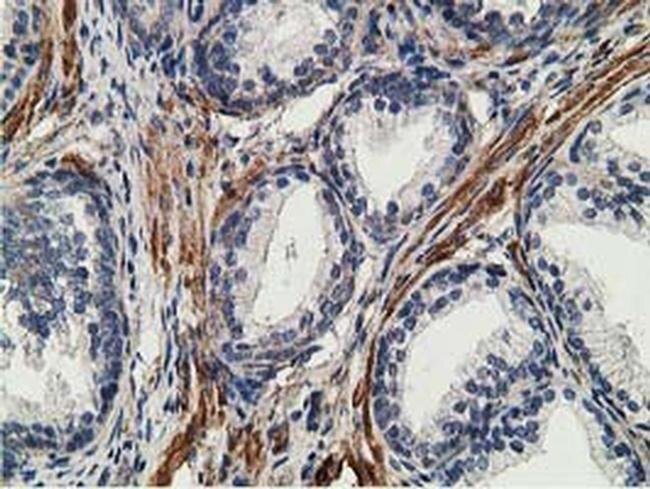
CCNB1IP1 Monoclonal Antibody for Western Blot, IHC (P), Flow
HEI10 is a member of the E3 ubiquitin ligase family and functions in progression of the cell cycle through G(2)/M.
Specifications
| CCNB1IP1 | |
| Monoclonal | |
| 1 mg/mL | |
| PBS with 1% BSA, 50% glycerol and 0.02% sodium azide; pH 7.3 | |
| Q9NPC3 | |
| CCNB1IP1 | |
| Full length human recombinant protein of CCNB1IP1 produced in E.coli. | |
| 100 μL | |
| Primary | |
| Human | |
| Antibody | |
| IgG1 |
| Flow Cytometry, Immunohistochemistry (Paraffin), Western Blot | |
| OTI4H3 | |
| Unconjugated | |
| CCNB1IP1 | |
| C14orf18; CCNB1IP1; cyclin B1 interacting protein 1; cyclin B1 interacting protein 1, E3 ubiquitin protein ligase; cyclin-B1-interacting protein 1; E3 ubiquitin-protein ligase CCNB1IP1; Gm288; HEI10; Human enhancer of invasion 10; Mei4; RING-type E3 ubiquitin transferase CCNB1IP1; Unknown (protein for MGC:134598) | |
| Mouse | |
| Affinity Chromatography | |
| RUO | |
| 57820 | |
| -20°C, Avoid Freeze/Thaw Cycles | |
| Liquid |
Product Content Correction
Your input is important to us. Please complete this form to provide feedback related to the content on this product.
Product Title
Spot an opportunity for improvement?Share a Content Correction