missing translation for 'onlineSavingsMsg'
Learn More

CCL8/MCP-2 Mouse anti-Human, Clone: CCL8/3683, Novus Biologicals™

Product Code. 18389814 Shop All Bio Techne Products
Change view
Click to view available options
Quantity:
100 μg
Unit Size:
100µg
1 product options available for selection
Product selection table with 1 available options. Use arrow keys to navigate and Enter or Space to select.
Product Code. Quantity unitSize
18389814 100 μg 100µg
Use arrow keys to navigate between rows. Press Enter or Space to select a product option. 1 options available.
1 options
This item is not returnable. View return policy
Product Code. 18389814 Supplier Novus Biologicals Supplier No. NBP313770100UG

Please to purchase this item. Need a web account? Register with us today!

This item is not returnable. View return policy

Mouse Monoclonal Antibody

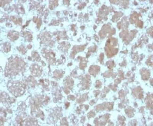
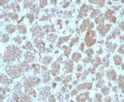
CCL8/MCP-2 Monoclonal antibody specifically detects CCL8/MCP-2 in Human samples. It is validated for Immunohistochemistry (Paraffin)
TRUSTED_SUSTAINABILITY

Specifications

Antigen CCL8/MCP-2
Applications Immunohistochemistry (Paraffin)
Classification Monoclonal
Clone CCL8/3683
Concentration 0.2 mg/ml
Conjugate Unconjugated
Dilution Immunohistochemistry-Paraffin 1-2 ug/ml
Formulation 10 mM PBS with 0.05% BSA
Gene Accession No. P80075
Gene Alias C-C motif chemokine 8, chemokine (C-C motif) ligand 8, HC14, MCP2, MCP-2, member 8 (monocyte chemotactic protein 2), monocyte chemoattractant protein 2, SCYA10, small-inducible cytokine A8
Host Species Mouse
Immunogen Human recombinant CCL8/MCP-2 protein fragment (around aa1-99) (exact sequence is proprietary) (Uniprot: P80075)
Purification Method Protein A or G purified
Quantity 100 μg
Regulatory Status RUO
Research Discipline Biologically Active Proteins, Chemokines and Cytokines, Cytokine Research, Signal Transduction
Primary or Secondary Primary
Gene ID (Entrez) 6355
Target Species Human
Content And Storage Store at 4°C.
Form Purified
Isotype IgG2c κ
Show More Show Less
Product Title
Select an issue

By clicking Submit, you acknowledge that you may be contacted by Fisher Scientific in regards to the feedback you have provided in this form. We will not share your information for any other purposes. All contact information provided shall also be maintained in accordance with our Privacy Policy.