missing translation for 'onlineSavingsMsg'
Learn More
Learn More
Invitrogen™ CCL3 Monoclonal Antibody (C6), Invitrogen™

Mouse Monoclonal Antibody
Brand: Invitrogen™ MA551187
This item is not returnable.
View return policy
Description
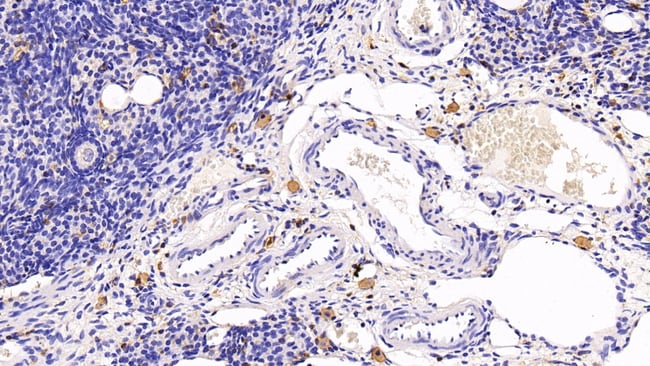
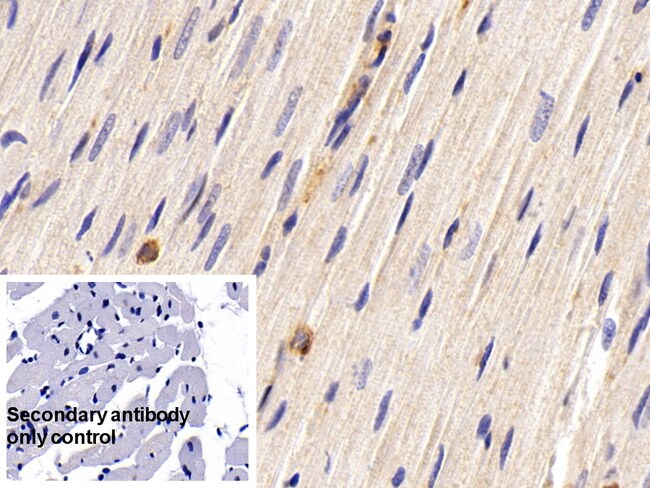
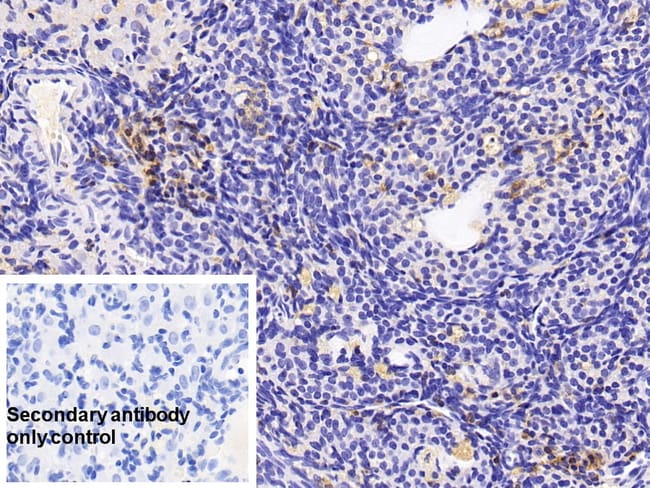
Both MIP-1alpha and MIP-1beta are structurally and functionally related CC chemokines. They participate in host response to invading bacterial, viral, parasite and fungal pathogens by regulating the trafficking and activation state of selected subgroups of inflammatory cells (e.g. macrophages, lymphocytes and NK cells). While both MIP-1alpha and MIP-1beta exert similar effects on monocytes, their effect on lymphocytes differ; with MIP-1alpha selectively attracting CD8+ lymphocytes, and MIP-1beta selectively attracting CD4+ lymphocytes. Additionally, MIP-1alpha and MIP-1beta have also been shown to be potent chemoattractants for B cells, eosinophils and dendritic cells. Both human and murine MIP-1alpha and MIP-1beta are active on human and murine hematopoietic cells.
Specifications
| CCL3 | |
| Monoclonal | |
| 1 mg/mL | |
| PBS with 50% glycerol and 0.05% Proclin 300; pH 7.4 | |
| P50229 | |
| Ccl3 | |
| Recombinant Rat MIP1a protein, Ala24-Ala92 (Accession #P50229). | |
| 200 μL | |
| Primary | |
| Rat | |
| Antibody | |
| IgG1 κ |
| Immunohistochemistry (Paraffin) | |
| C6 | |
| Unconjugated | |
| Ccl3 | |
| AI323804; C-C motif chemokine 3; C-C motif chemokine ligand 3; CCL3; chemokine (C-C motif) ligand 3; G0/G1 switch regulatory protein 19-1; G0S19-1; Heparin-binding chemotaxis protein; H-MIP-1-alpha; L2G25B; LD78ALPHA; LD78-alpha; LD78-alpha(4-69); Macrophage inflammatory protein 1 alpha (Small inducible cytokine A3); macrophage inflammatory protein 1-alpha; macrophage inflammatory protein-1alpha; MIP1 (a); mip1 alpha; MIP-1 alpha; MIP1-(a); MIP1A; MIP-1a; MIP-1alpha; MIP-1-alpha; MIP1-alpha; MIP-1-alpha(4-69); PAT 464.1; RP23-320E6.7; Scya3; SIS-alpha; SIS-beta; small inducible cytokine A3; small inducible cytokine A3 (homologous to mouse Mip-1a); small-inducible cytokine A3; Tonsillar lymphocyte LD78 alpha protein; TY-5 | |
| Mouse | |
| Protein A/G | |
| RUO | |
| 25542 | |
| Store at 4°C short term. For long term storage, store at -20°C, avoiding freeze/thaw cycles. | |
| Liquid |
Product Content Correction
Your input is important to us. Please complete this form to provide feedback related to the content on this product.
Product Title
Spot an opportunity for improvement?Share a Content Correction