missing translation for 'onlineSavingsMsg'
Learn More
Learn More
Invitrogen™ CCK Monoclonal Antibody (C7), Invitrogen™
Mouse Monoclonal Antibody
Brand: Invitrogen™ MA551143
This item is not returnable.
View return policy
Description
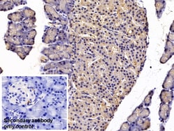
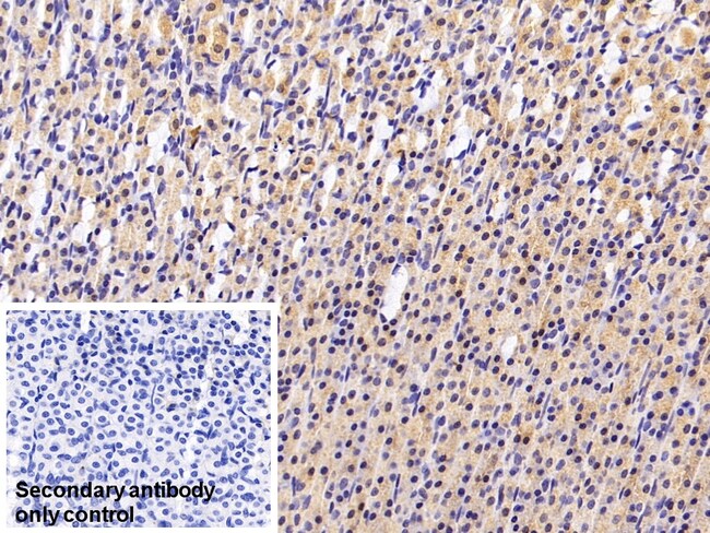
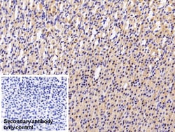
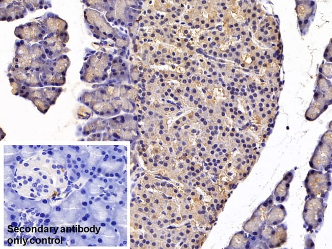
Cholecystokinin (CCK) is a neuropeptide hormone and neurotransmitter widely distributed throughout the gastrointestinal (GI) tract and the central nervous system (CNS). Antibodies that react specifically with CCK are useful for the study of the mode of action, differential tissue expression and intracellular and subcellular localization of CCK in the CNS and periphery as well as in neuroendocrine cells of the digestive system.
Specifications
| CCK | |
| Monoclonal | |
| 1 mg/mL | |
| PBS with 50% glycerol and 0.05% Proclin 300; pH 7.4 | |
| P01355 | |
| CCK | |
| Recombinant Rat CCK protein, Met1-Ser115 (Accession #P01355). | |
| 200 μL | |
| Primary | |
| Rat | |
| Antibody | |
| IgG1 κ |
| Immunohistochemistry (Paraffin), Western Blot, Western Blot | |
| C7 | |
| Unconjugated | |
| CCK | |
| (1-49)-CCK58; CCK; CCK12; CCK18; CCK22; CCK25; CCK33; CCK39; CCK5; CCK58; CCK7; CCK8; Cholecystokinin; cholecystokinin octapeptide; cholecystokinin triacontatriapeptide; Cholecystokinin-12; Cholecystokinin-18; Cholecystokinin-22; Cholecystokinin-25; Cholecystokinin-33; Cholecystokinin-39; Cholecystokinin-5; Cholecystokinin-58; Cholecystokinin-58 desnonopeptide; Cholecystokinin-7; Cholecystokinin-8; prepro-cholecystokinin | |
| Mouse | |
| Protein A/G | |
| RUO | |
| 25298 | |
| Store at 4°C short term. For long term storage, store at -20°C, avoiding freeze/thaw cycles. | |
| Liquid |
Product Content Correction
Your input is important to us. Please complete this form to provide feedback related to the content on this product.
Product Title
Spot an opportunity for improvement?Share a Content Correction