missing translation for 'onlineSavingsMsg'
Learn More
Learn More
Invitrogen™ CCDC86 Polyclonal Antibody

Rabbit Polyclonal Antibody
Brand: Invitrogen™ PA559617
This item is not returnable.
View return policy
Description
Immunogen sequence: LQQGAGLESP QGQPEPGAAS PQRQQDLHLE SPQRQPEYSP ESPRCQPKPS EEAPKCSQDQ GVLASELAQN KEELTPGAPQ HQLPPV Highest antigen sequence identity to the following orthologs: Mouse - 45%, Rat - 42%.
Coiled-coil domain-containing protein 86 (CCDC86) was identified as an immediate-early cytokine-responsive gene induced by interleukin 3 (IL-3) in a hematopoietic cell line. CCDC86 contains a coiled-coil domain in the C-terminus.
Specifications
| CCDC86 | |
| Polyclonal | |
| Unconjugated | |
| CCDC86 | |
| 4933411H20Rik; 6720480F16Rik; CCDC86; coiled-coil domain containing 86; coiled-coil domain-containing protein 86; CYCLON; cytokine-induced protein with coiled-coil domain; D19Ertd678e; hypothetical protein LOC540913; mCyclon; MGC2574; MNCb-4327 | |
| Rabbit | |
| Antigen affinity chromatography | |
| RUO | |
| 79080 | |
| Store at 4°C short term. For long term storage, store at -20°C, avoiding freeze/thaw cycles. | |
| Liquid |
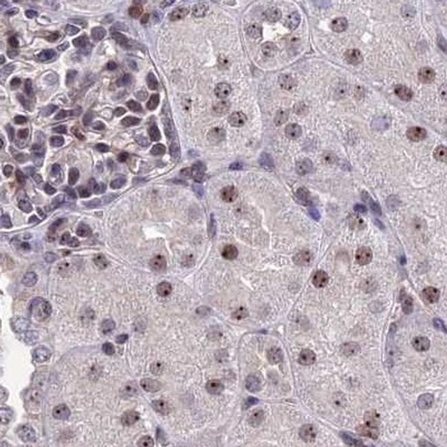
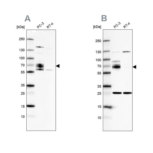
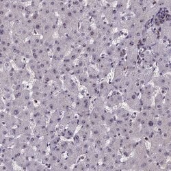
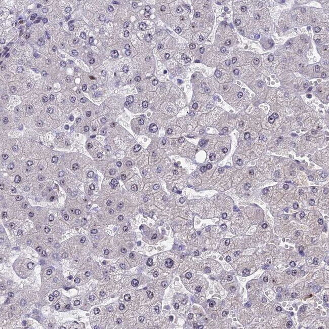
| Immunohistochemistry (Paraffin), Western Blot, Immunocytochemistry | |
| 0.7 mg/mL | |
| PBS with 40% glycerol and 0.02% sodium azide; pH 7.2 | |
| Q9H6F5 | |
| CCDC86 | |
| Recombinant protein corresponding to Human CCDC86. Recombinant protein control fragment (Product #RP-97314). | |
| 100 μL | |
| Primary | |
| Human | |
| Antibody | |
| IgG |
Product Content Correction
Your input is important to us. Please complete this form to provide feedback related to the content on this product.
Product Title
Spot an opportunity for improvement?Share a Content Correction