missing translation for 'onlineSavingsMsg'
Learn More
Learn More
Invitrogen™ CCDC24 Polyclonal Antibody

Rabbit Polyclonal Antibody
Brand: Invitrogen™ PA557266
This item is not returnable.
View return policy
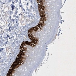
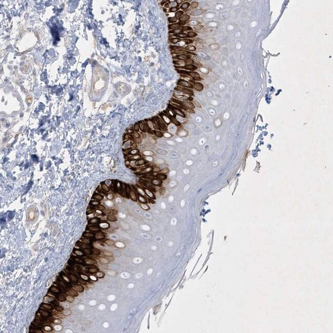
Description
Immunogen sequence: SLWELVEEHV PLRERREVKR ILGEAAVDLS LELRAEVAML RALLQEARSS QAPSSRPISD PSSLLAP Highest antigen sequence identity to the following orthologs: Mouse - 78%, Rat - 75%.
CCDC24 is a protein coding gene.
Specifications
| CCDC24 | |
| Polyclonal | |
| Unconjugated | |
| CCDC24 | |
| CCDC24; coiled-coil domain containing 24; coiled-coil domain-containing protein 24 | |
| Rabbit | |
| Antigen affinity chromatography | |
| RUO | |
| 149473 | |
| Store at 4°C short term. For long term storage, store at -20°C, avoiding freeze/thaw cycles. | |
| Liquid |
| Immunohistochemistry (Paraffin), Western Blot, Immunocytochemistry | |
| 0.5 mg/mL | |
| PBS with 40% glycerol and 0.02% sodium azide; pH 7.2 | |
| Q8N4L8 | |
| CCDC24 | |
| Recombinant protein corresponding to Human CCDC24. Recombinant protein control fragment (Product #RP-94334). | |
| 100 μL | |
| Primary | |
| Human | |
| Antibody | |
| IgG |
Product Content Correction
Your input is important to us. Please complete this form to provide feedback related to the content on this product.
Product Title
Spot an opportunity for improvement?Share a Content Correction