missing translation for 'onlineSavingsMsg'
Learn More

CCDC176 Rabbit anti-Human, Polyclonal, Novus Biologicals™

Product Code. 18395916 Shop All Bio Techne Products
Change view
Click to view available options
Quantity:
100 μg
25 μg
Unit Size:
100µL
25µL
2 product options available for selection
Product selection table with 2 available options. Use arrow keys to navigate and Enter or Space to select.
Product Code. Quantity unitSize
18395916 100 μg 100µL
18316834 25 μg 25µL
Use arrow keys to navigate between rows. Press Enter or Space to select a product option. 2 options available.
2 options
This item is not returnable. View return policy
Product Code. 18395916 Supplier Novus Biologicals Supplier No. NBP317354100UL

Please to purchase this item. Need a web account? Register with us today!

This item is not returnable. View return policy

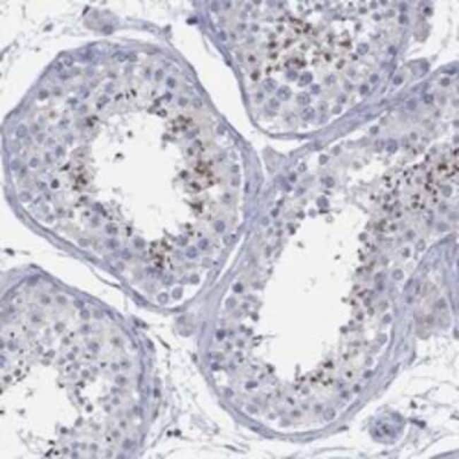
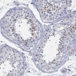
Rabbit Polyclonal Antibody

CCDC176 Polyclonal antibody specifically detects CCDC176 in Human samples. It is validated for Immunohistochemistry, Immunohistochemistry (Paraffin)
TRUSTED_SUSTAINABILITY

Specifications

Antigen CCDC176
Applications Immunohistochemistry, Immunohistochemistry (Paraffin)
Classification Polyclonal
Conjugate Unconjugated
Dilution Immunohistochemistry 1:1000 - 1:2500, Immunohistochemistry-Paraffin 1:1000 - 1:2500
Formulation PBS, pH 7.2, 40% glycerol
Gene Alias C14orf45, chromosome 14 open reading frame 45, FLJ23189, hypothetical protein LOC80127
Host Species Rabbit
Immunogen This antibody was developed against Recombinant Protein corresponding to amino acids: ERAHHEAIVQLNDAGRNVFKENVYLQKALAYHLKETDALQKNSQKLQESHTLLLHQKEINDLLVKEKIMQLVQQRSQIQTLQKKVVNLETALSYMTKEFESEVLKLQQHAMIENQAGQVEIDKLQHLLQMKDREMNRVKK
Purification Method Affinity purified
Quantity 100 μg
Regulatory Status RUO
Primary or Secondary Primary
Gene ID (Entrez) 80127
Target Species Human
Content And Storage Store at 4°C short term. Aliquot and store at -20°C long term. Avoid freeze-thaw cycles.
Form Purified
Isotype IgG
Show More Show Less
Product Title
Select an issue

By clicking Submit, you acknowledge that you may be contacted by Fisher Scientific in regards to the feedback you have provided in this form. We will not share your information for any other purposes. All contact information provided shall also be maintained in accordance with our Privacy Policy.