missing translation for 'onlineSavingsMsg'
Learn More

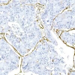
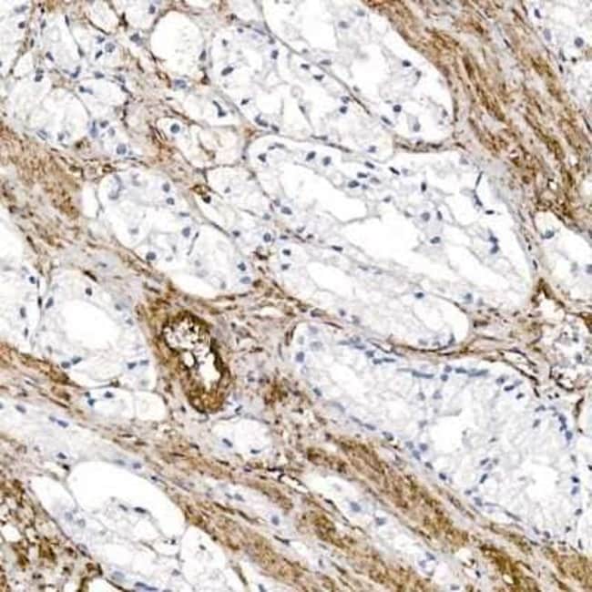
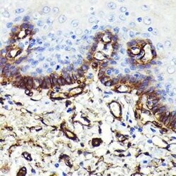
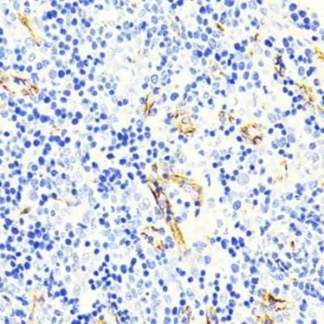
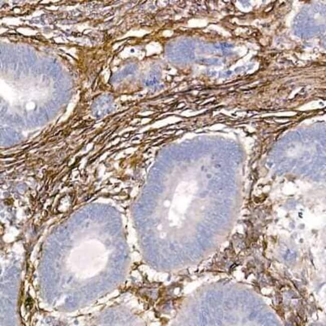
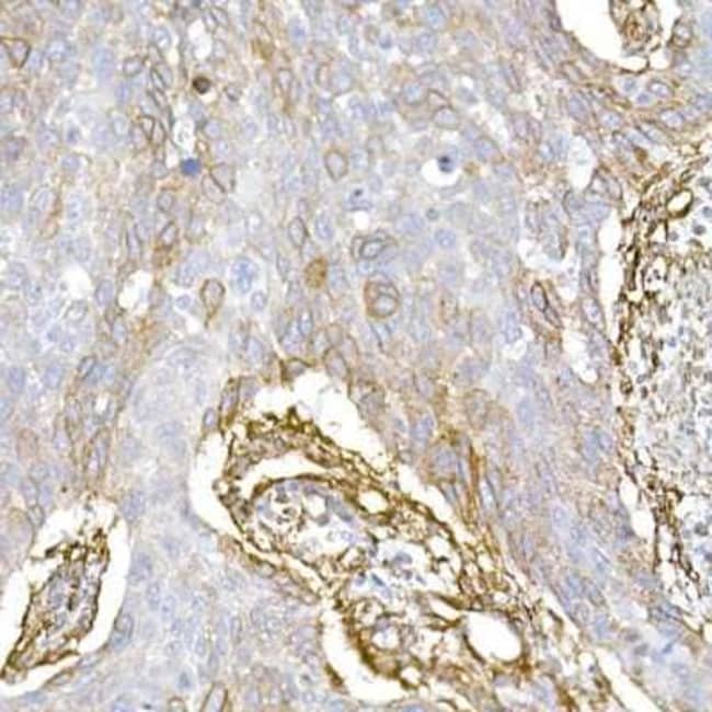
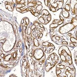
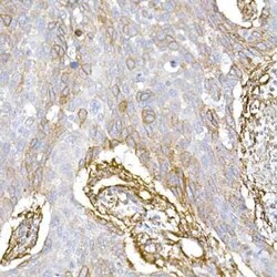
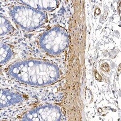
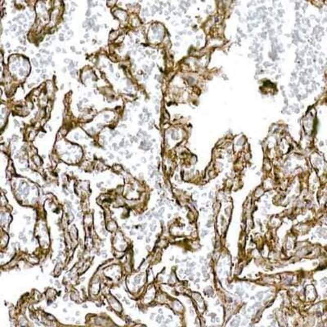
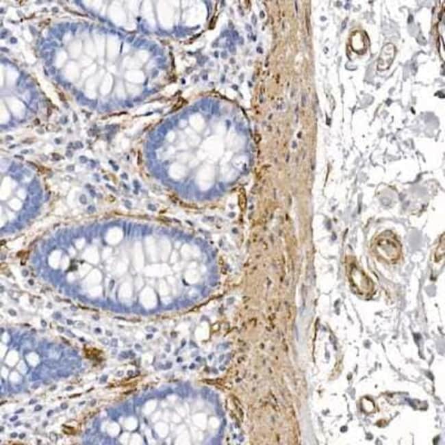
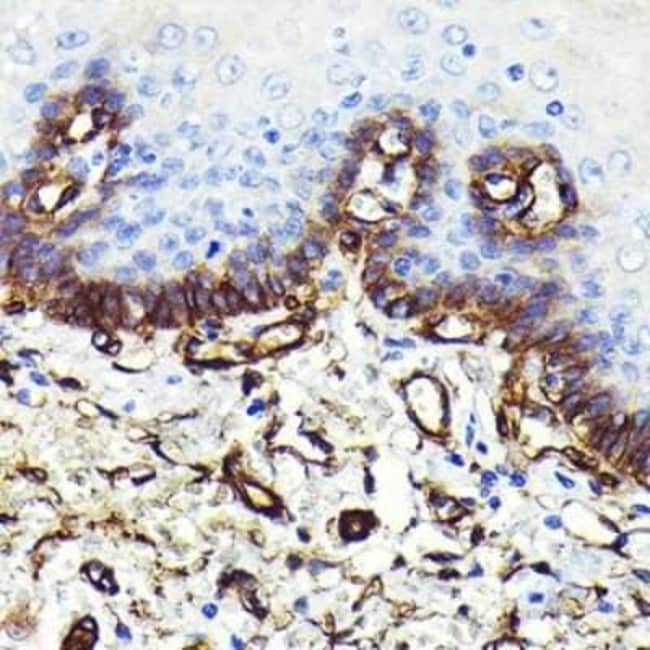
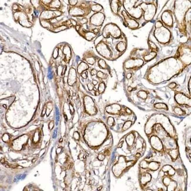
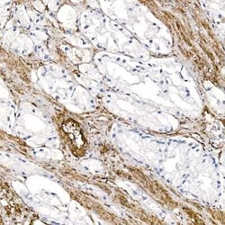
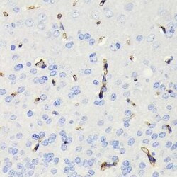
Caveolin-1 Rabbit anti-Human, Mouse, Rat, Clone: 9I9J8, Novus Biologicals™

Product Code. 18353783
Change view
Click to view available options
Quantity:
100 μg
20 μg
Unit Size:
100µL
20µL
2 product options available for selection
Product selection table with 2 available options. Use arrow keys to navigate and Enter or Space to select.
Product Code. Quantity unitSize
18353783 100 μg 100µL
18389135 20 μg 20µL
Use arrow keys to navigate between rows. Press Enter or Space to select a product option. 2 options available.
2 options
This item is not returnable. View return policy
Product Code. 18353783 Supplier Bio-Techne Supplier No. NBP315615100UL

Please to purchase this item. Need a web account? Register with us today!

This item is not returnable. View return policy

Rabbit Monoclonal Antibody

Caveolin-1 Monoclonal antibody specifically detects Caveolin-1 in Human, Mouse, Rat samples. It is validated for Western Blot, Immunohistochemistry, Immunofluorescence, Immunohistochemistry (Paraffin)
TRUSTED_SUSTAINABILITY

Specifications

Antigen Caveolin-1
Applications Western Blot, Immunohistochemistry, Immunofluorescence, Immunohistochemistry (Paraffin)
Classification Monoclonal
Clone 9I9J8
Conjugate Unconjugated
Dilution Western Blot, Immunohistochemistry 1:50 - 1:200, Immunocytochemistry/Immunofluorescence, Immunohistochemistry-Paraffin
Formulation PBS, 0.05% BSA, 50% glycerol, pH7.3
Gene Alias CAV, caveolae protein, 22kD, caveolin 1, caveolae protein, 22kDa, cell growth-inhibiting protein 32, MSTP085
Host Species Rabbit
Immunogen Recombinant fusion protein containing a sequence corresponding to amino acids 1-80 of human Caveolin-1 (NP_001744.2).
Purification Method Affinity purified
Quantity 100 μg
Regulatory Status RUO
Research Discipline Cancer, Caveolae Markers, Cellular Markers, Cholesterol Metabolism, Hypoxia, Lipid and Metabolism, Lipid Droplets, Signal Transduction
Primary or Secondary Primary
Gene ID (Entrez) 857
Target Species Human, Mouse, Rat
Content And Storage Store at -20°C. Avoid freeze-thaw cycles.
Form Purified
Isotype IgG
Show More Show Less
Product Title
Select an issue

By clicking Submit, you acknowledge that you may be contacted by Fisher Scientific in regards to the feedback you have provided in this form. We will not share your information for any other purposes. All contact information provided shall also be maintained in accordance with our Privacy Policy.