missing translation for 'onlineSavingsMsg'
Learn More
Learn More
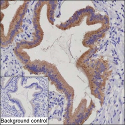
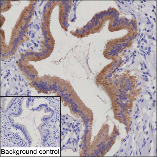
Invitrogen™ Cathepsin O Recombinant Mouse Monoclonal Antibody (K06376_14F12)

Description
Immunogen sequence: VESAYAIKGK PLEDLSVQQV IDCSYNNYGC NGGSTLNALN WLNKMQVKLV KDSEYPFKAQ NGLCHYFSGS HSGFSIKGYS AYDFSDQEDE Highest antigen sequence identity to the following orthologs: Mouse - 66%, Rat - 37%, Pig - 88%, Cynomolgus monkey - 98%.
The cathepsin family of proteolytic enzymes contains several diverse classes of proteases. The cysteine protease class comprises cathepsins B, L, H, K, S, and O. The aspartyl protease class is composed of cathepsins D and E. Cathepsin G is in the serine protease class. Most cathepsins are lysosomal and each is involved in cellular metabolism, participating in various events such as peptide biosynthesis and protein degradation. Cathepsin O maintains the structural features characteristic of other cysteine proteinases including the active site cysteine residue that is involved in covalent intermediate formation during peptide hydrolysis. Cathepsin O is an endoproteinase that may be involved in extracellular matrix degradation. Cathepsin O is abundantly expressed in the ovary, kidney and placenta with lower levels found in thymus and skeletal muscle.
Specifications
Specifications
| Antigen | Cathepsin O |
| Applications | Immunohistochemistry (Paraffin) |
| Classification | Recombinant Monoclonal |
| Clone | K06376_14F12 |
| Concentration | 1 mg/mL |
| Conjugate | Unconjugated |
| Formulation | PBS with 50% glycerol, 0.5% BSA and 0.09% sodium azide |
| Gene | CTSO |
| Gene Accession No. | P43234 |
| Gene Alias | A330105D01Rik; A430056C07; AI118514; cathepsin O; Ctso; CTSO1; LOC684529; similar to cathepsin O |
| Show More |
Product Title
By clicking Submit, you acknowledge that you may be contacted by Fisher Scientific in regards to the feedback you have provided in this form. We will not share your information for any other purposes. All contact information provided shall also be maintained in accordance with our Privacy Policy.
Spot an opportunity for improvement?