missing translation for 'onlineSavingsMsg'
Learn More

Caspase-6 Rabbit anti-Human, Mouse, Rat, Clone: 6D7S2, Novus Biologicals™

Rabbit Monoclonal Antibody

Brand:  Novus Biologicals NBP3-15771-100UL

 View more versions of this product

Product Code. 18361687

  • £386.00 / 100µL

Please to purchase this item. Need a web account? Register with us today!

This item is not returnable. View return policy

Description

Description

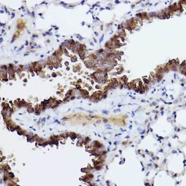
Caspase-6 Monoclonal antibody specifically detects Caspase-6 in Human, Mouse, Rat samples. It is validated for Western Blot, Immunohistochemistry, Immunofluorescence, Immunohistochemistry (Paraffin)
TRUSTED_SUSTAINABILITY
Specifications

Specifications

Caspase-6
Monoclonal
Unconjugated
PBS, 0.05% BSA, 50% glycerol, pH7.3
Rabbit
Affinity purified
RUO
Primary
Human, Mouse, Rat
Purified
Western Blot, Immunohistochemistry, Immunofluorescence, Immunohistochemistry (Paraffin)
6D7S2
Western Blot, Immunohistochemistry 1:50 - 1:200, Immunocytochemistry/Immunofluorescence, Immunohistochemistry-Paraffin
Apoptotic protease Mch-2, CASP-6, caspase 6, apoptosis-related cysteine peptidase, caspase 6, apoptosis-related cysteine protease, caspase-6, EC 3.4.22, MCH2EC 3.4.22.59
Recombinant fusion protein containing a sequence corresponding to amino acids 45-162 of human Caspase-6 (P55212).
100 μg
Apoptosis, Cancer, Caspases
839
Store at -20°C. Avoid freeze-thaw cycles.
IgG
Product Suggestions

Product Suggestions

Videos
SDS
Documents

Documents

Certificates
Promotions

Promotions

Product Content Correction

Your input is important to us. Please complete this form to provide feedback related to the content on this product.

Product Title

By clicking Submit, you acknowledge that you may be contacted by Fisher Scientific in regards to the feedback you have provided in this form. We will not share your information for any other purposes. All contact information provided shall also be maintained in accordance with our Privacy Policy.

Thank You! Your feedback has been submitted. Fisher Scientific is always working to improve our content for you. We appreciate your feedback.