missing translation for 'onlineSavingsMsg'
Learn More
Learn More
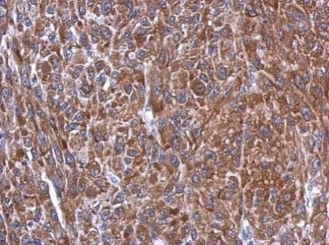
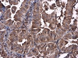
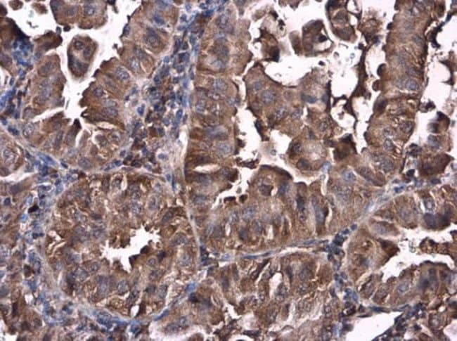
Invitrogen™ Caspase 10 Polyclonal Antibody

Rabbit Polyclonal Antibody
Brand: Invitrogen™ PA529649
This item is not returnable.
View return policy
Description
Recommended positive controls: Jurkat, NCI-H929. Store product as a concentrated solution. Centrifuge briefly prior to opening the vial.
This gene encodes a protein which is a member of the cysteine-aspartic acid protease (caspase) family. Sequential activation of caspases plays a central role in the execution-phase of cell apoptosis. Caspases exist as inactive proenzymes which undergo proteolytic processing at conserved aspartic residues to produce two subunits, large and small, that dimerize to form the active enzyme. This protein cleaves and activates caspases 3 and 7, and the protein itself is processed by caspase 8. Mutations in this gene are associated with apoptosis defects seen in type II autoimmune lymphoproliferative syndrome. Three alternatively spliced transcript variants encoding different isoforms have been described for this gene.
Specifications
| Caspase 10 | |
| Polyclonal | |
| Unconjugated | |
| CASP10 | |
| ALPS2; Apoptotic protease Mch-4; CASP10; CASP-10; caspase 10; caspase 10 apoptosis-related cysteine peptidase; caspase 10, apoptosis-related cysteine peptidase; caspase 10, apoptosis-related cysteine protease; caspase-10; Caspase-10 subunit p12; Caspase-10 subunit p23/17; FADD-like ICE2; FAS-associated death domain protein interleukin-1B-converting enzyme 2; FLICE2; ICE-like apoptotic protease 4; interleukin-1B-converting enzyme 2; MCH4 | |
| Rabbit | |
| Antigen affinity chromatography | |
| RUO | |
| 843 | |
| Store at 4°C short term. For long term storage, store at -20°C, avoiding freeze/thaw cycles. | |
| Liquid |
| Immunohistochemistry (Paraffin), Western Blot, Immunocytochemistry | |
| 1 mg/mL | |
| 0.1M tris glycine with 20% glycerol and 0.01% thimerosal; pH 7 | |
| Q92851 | |
| CASP10 | |
| Recombinant protein encompassing a sequence within the center region of human Caspase 10. The exact sequence is proprietary. | |
| 100 μL | |
| Primary | |
| Human | |
| Antibody | |
| IgG |
Product Content Correction
Your input is important to us. Please complete this form to provide feedback related to the content on this product.
Product Title
Spot an opportunity for improvement?Share a Content Correction