missing translation for 'onlineSavingsMsg'
Learn More

Casein Kinase 2 beta Rabbit anti-Human, Mouse, Polyclonal, Proteintech

Rabbit Polyclonal Antibody

Brand:  Proteintech 22418-1-AP-20UL

 View more versions of this product

Product Code. 16871925

  • £135.00 / 20µL

Please to purchase this item. Need a web account? Register with us today!

This item is not returnable. View return policy

Description

Description

This gene encodes the beta subunit of casein kinase II, a ubiquitous protein kinase which regulates metabolic pathways, signal transduction, transcription, translation, and replication. The enzyme is composed of three subunits, alpha, alpha prime and beta, which form a tetrameric holoenzyme. The alpha and alpha prime subunits are catalytic, while the beta subunit serves regulatory functions. The enzyme localizes to the endoplasmic reticulum and the Golgi apparatus.
Specifications

Specifications

Casein Kinase 2 beta
Polyclonal
Unconjugated
CSNK2B
Casein kinase II subunit beta, CK II beta, CK2B, CK2N, CSK2B, CSNK2B, G5A, Phosvitin, Protein G5a
Rabbit
Antigen Affinity Chromatography
RUO
13001, 1460
-20°C
Liquid
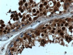
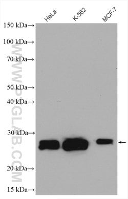
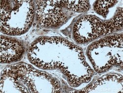
Immunohistochemistry (Paraffin), Immunocytochemistry, Flow Cytometry, Immunofluorescence, Western Blot
0.32 mg/mL
PBS with 50% glycerol and 0.02% sodium azide; pH 7.3
P67870, P67871
Csnk2b
Casein Kinase 2 beta Fusion Protein Ag18134
20 μL
Primary
Human, Mouse
Antibody
IgG
Product Suggestions

Product Suggestions

Videos
SDS
Documents

Documents

Certificates
Promotions

Promotions

Product Content Correction

Your input is important to us. Please complete this form to provide feedback related to the content on this product.

Product Title

By clicking Submit, you acknowledge that you may be contacted by Fisher Scientific in regards to the feedback you have provided in this form. We will not share your information for any other purposes. All contact information provided shall also be maintained in accordance with our Privacy Policy.

Thank You! Your feedback has been submitted. Fisher Scientific is always working to improve our content for you. We appreciate your feedback.