missing translation for 'onlineSavingsMsg'
Learn More

Casein Kinase 2 beta Antibody, Novus Biologicals™

Product Code. 18416841 Shop All Bio Techne Products
Change view
Click to view available options
Quantity:
0.1 mL
25 μL
Unit Size:
0.1mL
25µL
2 product options available for selection
Product selection table with 2 available options. Use arrow keys to navigate and Enter or Space to select.
Product Code. Quantity unitSize
18416841 25 μL 25µL
18465302 0.1 mL 0.1mL
Use arrow keys to navigate between rows. Press Enter or Space to select a product option. 2 options available.
2 options
This item is not returnable. View return policy
Product Code. 18416841 Supplier Novus Biologicals Supplier No. NBP18748325ul

Please to purchase this item. Need a web account? Register with us today!

This item is not returnable. View return policy

Rabbit Polyclonal Antibody

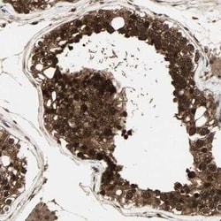
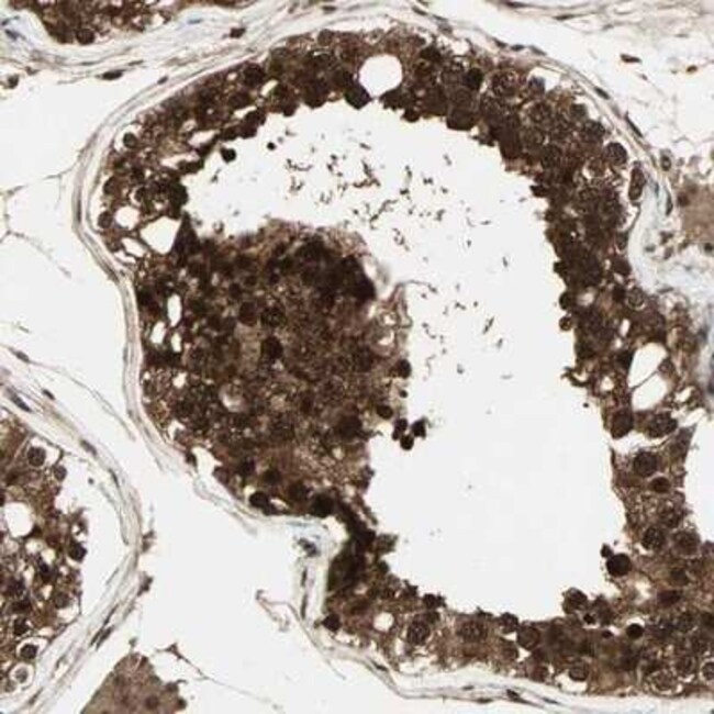
Casein Kinase 2 beta Polyclonal antibody specifically detects Casein Kinase 2 beta in Human samples. It is validated for Western Blot, Immunohistochemistry, Immunohistochemistry (Paraffin)
TRUSTED_SUSTAINABILITY

Specifications

Antigen Casein Kinase 2 beta
Applications Western Blot, Immunohistochemistry, Immunohistochemistry (Paraffin)
Classification Polyclonal
Conjugate Unconjugated
Dilution Western Blot 0.04-0.4 ug/mL, Immunohistochemistry 1:50 - 1:200, Immunohistochemistry-Paraffin 1:50 - 1:200
Formulation PBS (pH 7.2) and 40% Glycerol
Gene Alias casein kinase 2, beta polypeptide, Casein kinase II beta subunit, casein kinase II subunit beta, CK II beta, CK2B, CSK2B, G5A, MGC138222, MGC138224, phosvitin, Protein G5a
Host Species Rabbit
Immunogen This antibody was developed against Recombinant Protein corresponding to amino acids: PHYRQALDMILDLEPDEELEDNPNQSDLIEQAAEMLYGLIHARYILTNRGIAQMLEKYQQGDFGYCPRVYCENQPMLPIGLSDIPGEAMVKLYCPKCMDVYTPKSSRHHHTDGAYFGTGFPHMLFMVHPEYRPKRPANQFVPRLY
Purification Method Immunogen affinity purified
Quantity 25 μL
Regulatory Status RUO
Research Discipline Cancer, Cell Cycle and Replication, Wnt Signaling Pathway
Primary or Secondary Primary
Gene ID (Entrez) 1460
Target Species Human
Content And Storage Store at 4C short term. Aliquot and store at -20C long term. Avoid freeze-thaw cycles.
Form Purified
Isotype IgG
Show More Show Less
Product Title
Select an issue

By clicking Submit, you acknowledge that you may be contacted by Fisher Scientific in regards to the feedback you have provided in this form. We will not share your information for any other purposes. All contact information provided shall also be maintained in accordance with our Privacy Policy.