missing translation for 'onlineSavingsMsg'
Learn More

Invitrogen™ Carbonic Anhydrase IX Monoclonal Antibody (2D3)

Mouse Monoclonal Antibody

Brand:  Invitrogen™ MA515737

Product Code. 11345703

  • £496.00 / 100µL

Please to purchase this item. Need a web account? Register with us today!

This item is not returnable. View return policy

Description

Description

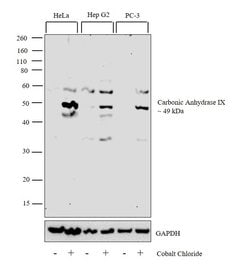
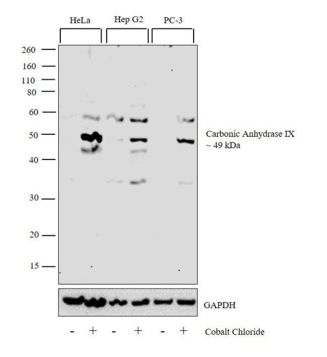
MA5-15737 targets CA9 in indirect ELISA, FACS, IHC, and WB applications and shows reactivity with Human samples. The MA5-15737 immunogen is purified recombinant fragment of human CA9 expressed in E. Coli. MA5-15737 detects CA9 which has a predicted molecular weight of approximately 50kDa.

Carbonic anhydrase (CA) is an enzyme that assists rapid interconversion of carbon dioxide and water into carbonic acid, protons, and bicarbonate ions. It is abundant in all mammalian tissues. There are many genes that are inducible by hypoxia, via HIF-1 alpha. CA IX is one of the most inducible genes because of its stability and location within the membrane. Carbonic anhydrases have a widespread role in regulating pH in normal tissues, by regulating hydrogen ion (H+) flux. The pH is important in cell death under hypoxia, thus a blockade of CA IX results in increased cell death under hypoxia. Therefore, CA IX has become a reliable histochemical marker of hypoxia.
TRUSTED_SUSTAINABILITY
Specifications

Specifications

Carbonic Anhydrase IX
Monoclonal
Conc. Not Determined
ascites with 0.03% sodium azide
Q16790
CA9
Purified recombinant fragment of human CA9 expressed in E. Coli.
RUO
768
Store at 4°C short term. For long term storage, store at -20°C, avoiding freeze/thaw cycles.
Liquid
ELISA, Flow Cytometry, Immunohistochemistry (Paraffin), Western Blot
2D3
Unconjugated
CA9
Ca9; CA-9; CAIX; CA-IX; Car9; Carbonate dehydratase IX; carbonic anhydrase 9; Carbonic anhydrase IX; carbonic dehydratase; G250; Membrane antigen MN; membrane antigen MN homolog; MN; MN/CA9; P54 / 58N; P54/58N; pMW1; RCC-associated antigen G250; RCC-associated protein G250; renal cell carcinoma-associated antigen G250
Mouse
100 μL
Primary
Human
Antibody
IgG1
Product Suggestions

Product Suggestions

Videos
SDS
Documents

Documents

Certificates
Promotions

Promotions

Product Content Correction

Your input is important to us. Please complete this form to provide feedback related to the content on this product.

Product Title

By clicking Submit, you acknowledge that you may be contacted by Fisher Scientific in regards to the feedback you have provided in this form. We will not share your information for any other purposes. All contact information provided shall also be maintained in accordance with our Privacy Policy.

Thank You! Your feedback has been submitted. Fisher Scientific is always working to improve our content for you. We appreciate your feedback.