missing translation for 'onlineSavingsMsg'
Learn More

Invitrogen™ Carbonic Anhydrase IV Polyclonal Antibody, Invitrogen™

Product Code. 17910023
Change view
Click to view available options
Quantity:
20 μL
200 μL
Unit Size:
200µL
20µL
2 product options available for selection
Product selection table with 2 available options. Use arrow keys to navigate and Enter or Space to select.
Product Code. Quantity unitSize
17910023 20 μL 20µL
17939462 200 μL 200µL
Use arrow keys to navigate between rows. Press Enter or Space to select a product option. 2 options available.
2 options
This item is not returnable. View return policy
Product Code. 17910023 Supplier Invitrogen™ Supplier No. PA5145356

Please to purchase this item. Need a web account? Register with us today!

This item is not returnable. View return policy

Rabbit Polyclonal Antibody

Carbonic anhydrases are a large family of zinc metalloenzymes that catalyze the reversible hydration of carbon dioxide. They participate in a variety of biological processes, including respiration, calcification, acid-base balance, bone resorption, and the formation of aqueous humor, cerebrospinal fluid, saliva, and gastric acid. They show extensive diversity in tissue distribution and in their subcellular localization. This gene encodes a glycosylphosphatidyl-inositol-anchored membrane isozyme expressed on the luminal surfaces of pulmonary capillaries and proximal renal tubules. Its exact function is not known, however, it may have a role in inherited renal abnormalities of bicarbonate transport.
TRUSTED_SUSTAINABILITY

Specifications

Antigen Carbonic Anhydrase IV
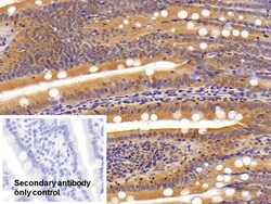
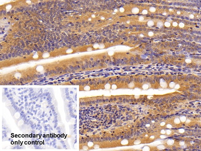
Applications Immunohistochemistry (Paraffin), Western Blot, Immunocytochemistry
Classification Polyclonal
Concentration 0.5 mg/mL
Conjugate Unconjugated
Formulation PBS with 50% glycerol and 0.05% Proclin 300; pH 7.4
Gene CA4
Gene Accession No. P22748, P48284, Q64444
Gene Alias AW456718; CA IV; CA4; CAIV; CA-IV; Car4; Carbonate dehydratase IV; carbonic anhydrase 4; Carbonic anhydrase IV; carbonic dehydratase IV; RP17
Gene Symbols CA4, Car4
Host Species Rabbit
Immunogen Recombinant Rat CA4 protein, Ser20-Ser220 (Accession #P48284).
Purification Method Antigen affinity chromatography, Protein A
Quantity 20 μL
Regulatory Status RUO
Primary or Secondary Primary
Gene ID (Entrez) 100511956, 12351, 29242, 762
Target Species Human, Mouse, Pig, Rat
Content And Storage Store at 4°C short term. For long term storage, store at -20°C, avoiding freeze/thaw cycles.
Product Type Antibody
Form Liquid
Isotype IgG
Show More Show Less
Product Title
Wählen Sie ein Thema

Indem Sie auf Absenden klicken, erklären Sie sich damit einverstanden, dass Fisher Scientific sich mit Ihnen in Verbindung setzen kann, um Ihr Feedback in diesem Formular zu bearbeiten. Wir werden Ihre Informationen nicht für andere Zwecke weitergeben. Alle bereitgestellten Kontaktinformationen werden in Übereinstimmung mit unserer Datenschutzrichtlinie aufbewahrt. Datenschutzrichtlinie.