missing translation for 'onlineSavingsMsg'
Learn More

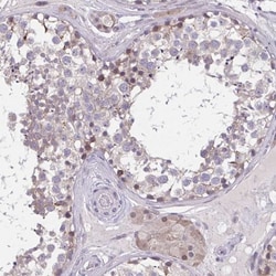
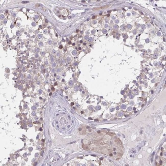
Carbohydrate Sulfotransferase 3/CHST3 Antibody, Novus Biologicals™

Product Code. 18423582 Shop All Bio Techne Products
Change view
Click to view available options
Quantity:
0.1 mL
25 μL
Unit Size:
0.10mL
25µL
2 product options available for selection
Product selection table with 2 available options. Use arrow keys to navigate and Enter or Space to select.
Product Code. Quantity unitSize
18423582 25 μL 25µL
18183923 0.1 mL 0.10mL
Use arrow keys to navigate between rows. Press Enter or Space to select a product option. 2 options available.
2 options
This item is not returnable. View return policy
Product Code. 18423582 Supplier Novus Biologicals Supplier No. NBP23161125ul

Please to purchase this item. Need a web account? Register with us today!

This item is not returnable. View return policy

Rabbit Polyclonal Antibody

Carbohydrate Sulfotransferase 3/CHST3 Polyclonal specifically detects Carbohydrate Sulfotransferase 3/CHST3 in Human samples. It is validated for Immunohistochemistry, Immunohistochemistry-Paraffin.
TRUSTED_SUSTAINABILITY

Specifications

Antigen Carbohydrate Sulfotransferase 3/CHST3
Applications Immunohistochemistry, Immunohistochemistry (Paraffin)
Classification Polyclonal
Conjugate Unconjugated
Dilution Immunohistochemistry, Immunohistochemistry-Paraffin 1:200 - 1:500
Formulation PBS (pH 7.2) and 40% Glycerol with 0.02% Sodium Azide
Gene Accession No. Q7LGC8
Gene Alias C6ST-1, C6ST1HSD, C6STEC 2.8.2.17, carbohydrate (chondroitin 6) sulfotransferase 3, carbohydrate sulfotransferase 3, Chondroitin 6-O-sulfotransferase 1, Chondroitin 6-sulfotransferase, EC 2.8.2, Galactose/N-acetylglucosamine/N-acetylglucosamine 6-O-sulfotransferase 0, GST-0
Gene Symbols CHST3
Host Species Rabbit
Immunogen This antibody was developed against a recombinant protein corresponding to amino acids: IISRVSDKLKQIPQALADANSTDPALILAENASLLSLSELDSAFSQLQSRL
Purification Method Affinity Purified
Quantity 25 μL
Regulatory Status RUO
Research Discipline Signal Transduction
Primary or Secondary Primary
Gene ID (Entrez) 9469
Test Specificity Specificity of antibody verified on a Protein Array containing target protein plus 383 other non-specific proteins.
Target Species Human
Content And Storage Store at 4C short term. Aliquot and store at -20C long term. Avoid freeze-thaw cycles.
Isotype IgG
Show More Show Less

For Research Use Only

Product Title
Select an issue

By clicking Submit, you acknowledge that you may be contacted by Fisher Scientific in regards to the feedback you have provided in this form. We will not share your information for any other purposes. All contact information provided shall also be maintained in accordance with our Privacy Policy.