missing translation for 'onlineSavingsMsg'
Learn More
Learn More
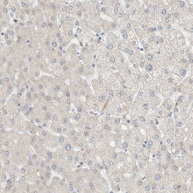
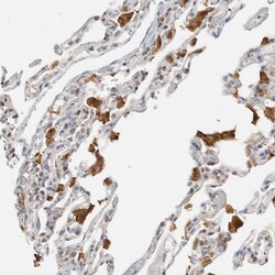
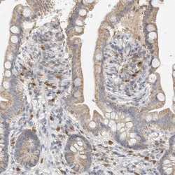
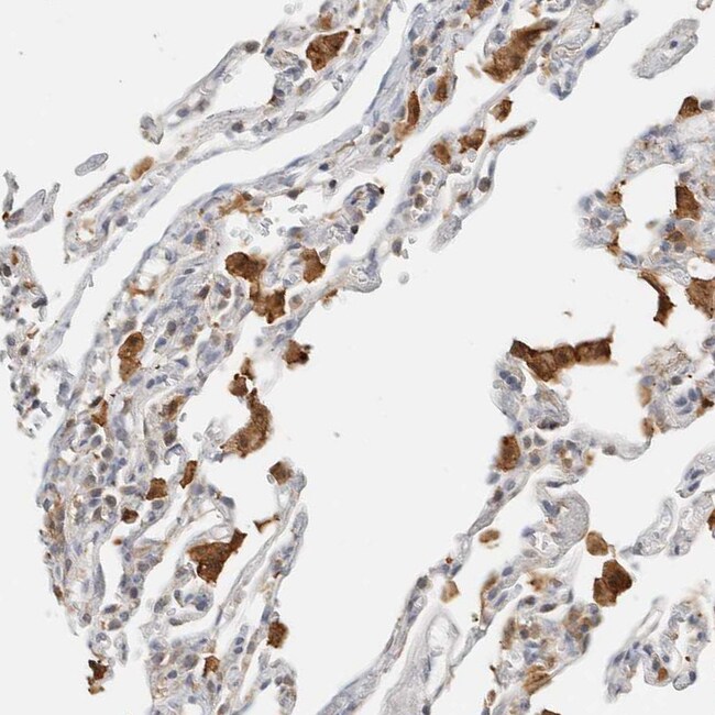
Invitrogen™ CAPG Polyclonal Antibody

Rabbit Polyclonal Antibody
Brand: Invitrogen™ PA582637
This item is not returnable.
View return policy
Description
Immunogen sequence: SSPFALELLI SDDCFVLDNG LCGKIYIWKG RKANEKERQA ALQVAEGFIS RMQYAPNTQV EILPQGRESP IFKQF Highest antigen sequence indentity to the following orthologs: Rat - 93%, Mouse - 93%.
This gene encodes a member of the gelsolin/villin family of actin-regulatory proteins. The encoded protein reversibly blocks the barbed ends of F-actin filaments in a Ca2+ and phosphoinositide-regulated manner, but does not sever preformed actin filaments. By capping the barbed ends of actin filaments, the encoded protein contributes to the control of actin-based motility in non-muscle cells. Alternatively spliced transcript variants have been observed, but have not been fully described.
Specifications
| CAPG | |
| Polyclonal | |
| Unconjugated | |
| CAPG | |
| Actin regulatory protein CAP-G; actin-capping protein GCAP39; actin-regulatory protein CAP-G; AFCP; Capg; capping actin protein, gelsolin like; capping protein (actin filament), gelsolin-like; epididymis secretory protein Li 66; gCap39; gelsolin-like capping protein; HEL-S-66; macrophage capping protein; macrophage-capping protein; mbh1; MCP; myc basic motif homolog 1 | |
| Rabbit | |
| Antigen affinity chromatography | |
| RUO | |
| 12332, 297339, 822 | |
| Store at 4°C short term. For long term storage, store at -20°C, avoiding freeze/thaw cycles. | |
| Liquid |
| Immunohistochemistry (Paraffin), Western Blot | |
| 0.05 mg/mL | |
| PBS with 40% glycerol and 0.02% sodium azide; pH 7.2 | |
| P24452, P40121, Q6AYC4 | |
| CAPG | |
| Recombinant protein corresponding to Human CAPG. Recombinant protein control fragment (Product #RP-92450). | |
| 100 μL | |
| Primary | |
| Human, Mouse, Rat | |
| Antibody | |
| IgG |
Product Content Correction
Your input is important to us. Please complete this form to provide feedback related to the content on this product.
Product Title
Spot an opportunity for improvement?Share a Content Correction