Learn More
Invitrogen™ CAMLG Polyclonal Antibody

Rabbit Polyclonal Antibody
Brand: Invitrogen™ PA589385
Description
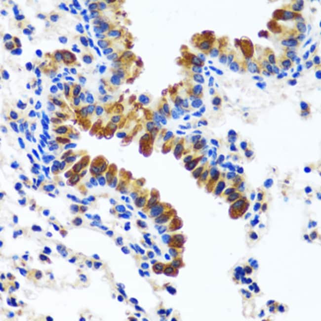
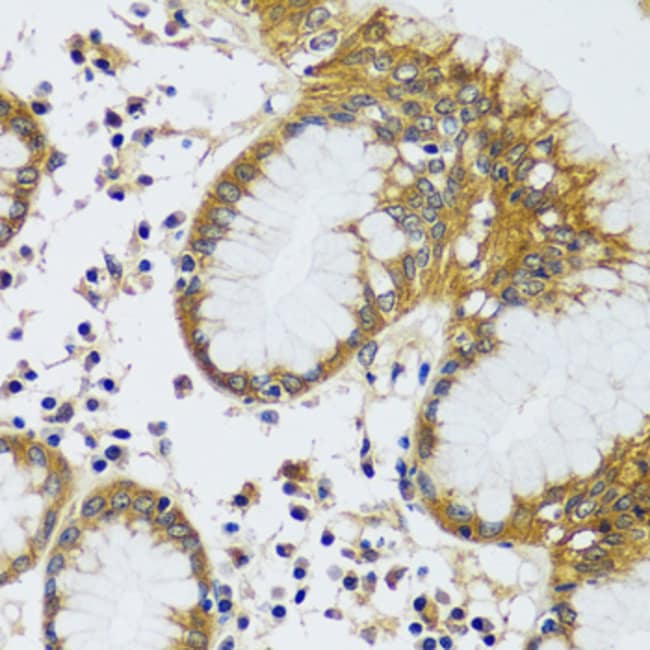
Immunogen sequence: MESMAVATDG GERPGVPAGS GLSASQRRAE LRRRKLLMNS EQRINRIMGF HRPGSGAEEE SQTKSKQQDS DKLNSLSVPS VSKRVVLGDS VSTGTTDQQG GVAEVKGTQL GDKLDSFIKP PECSSDVNLE LRQRNRGDLT ADSVQRGSRH GLEQYLSRFE EAMKLRKQLI SEKPSQEDGN TTEEFDSFRI; Positive Samples: U-87MG, HepG2, HT-29, Mouse thymus, Mouse testis, Rat brain, Rat testis; Cellular Location: Membrane, Multi-pass membrane protein.
The immunosuppressant drug cyclosporin A blocks a calcium-dependent signal from the T-cell receptor (TCR) that normally leads to T-cell activation. When bound to cyclophilin B, cyclosporin A binds and inactivates the key signaling intermediate calcineurin. The protein encoded by this gene functions similarly to cyclosporin A, binding to cyclophilin B and acting downstream of the TCR and upstream of calcineurin by causing an influx of calcium. This integral membrane protein appears to be a new participant in the calcium signal transduction pathway, implicating cyclophilin B in calcium signaling, even in the absence of cyclosporin.
Specifications
| CAMLG | |
| Polyclonal | |
| Unconjugated | |
| CAMLG | |
| AI385748; calcium modulating ligand; calcium signal-modulating cyclophilin ligand; calcium-modulating cyclophilin ligand; calcium-signal modulating cyclophilin ligand; CAML; Camlg; cyclophilin B-binding protein; GET2 | |
| Rabbit | |
| Affinity Chromatography | |
| RUO | |
| 81715, 819 | |
| -20°C, Avoid Freeze/Thaw Cycles | |
| Liquid |
| ELISA, Immunohistochemistry (Paraffin), Western Blot, Immunocytochemistry | |
| 0.96 mg/mL | |
| PBS with 50% glycerol and 0.01% thimerosal; pH 7.3 | |
| P49069 | |
| CAMLG | |
| Recombinant fusion protein containing a sequence corresponding to amino acids 1-190 of human CAMLG (NP_0017361). | |
| 100 μL | |
| Primary | |
| Human, Mouse, Rat | |
| Antibody | |
| IgG |
Your input is important to us. Please complete this form to provide feedback related to the content on this product.