missing translation for 'onlineSavingsMsg'
Learn More
Learn More
Invitrogen™ Calnexin Polyclonal Antibody

Rabbit Polyclonal Antibody
Brand: Invitrogen™ PA5119666
This item is not returnable.
View return policy
Description
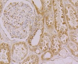
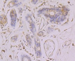
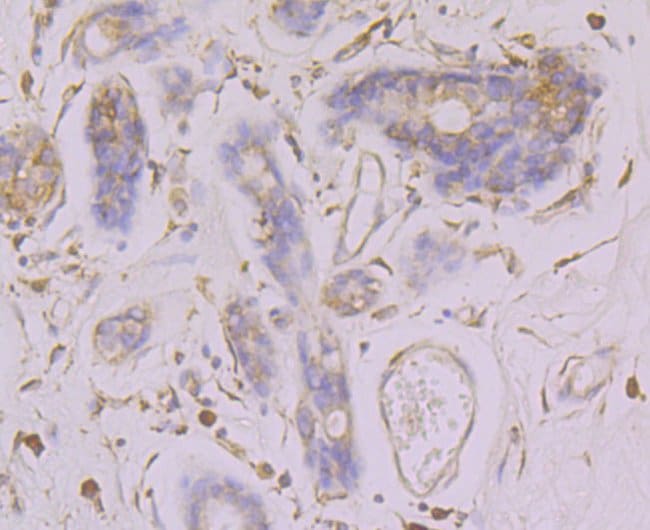
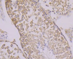
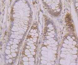
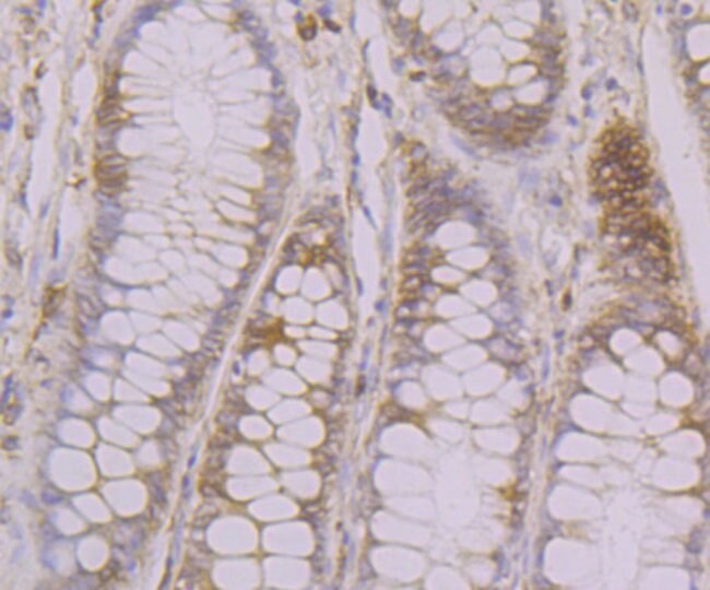
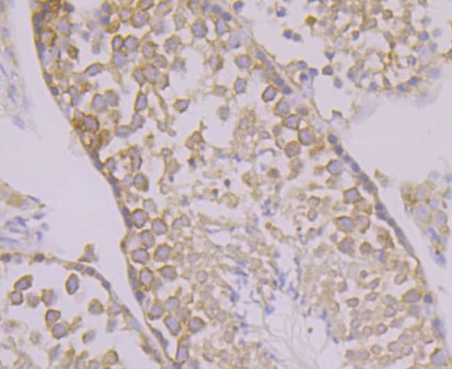
Positive Control: Daudi, mouse lung tissue, human colon tissue, human breast cancer tissue, human kidney tissue, mouse testis tissue, SKOV-3. Subcellular Location: Endoplasmic reticulum.
Calnexin, also referred to as IP90, p88 and p90, is an approximately 90 kDa integral membrane protein of the endoplasmic reticulum (ER). Many resident ER proteins act as molecular chaperones and participate in the proper folding of polypeptides and their assembly into multisubunit proteins. Studies indicate that calnexin associates with the major histocompatibility complex (MHC) class I heavy chains, partial complexes of the T cell receptor and B cell membrane immunoglobulin, but not with completed receptor complexes. It has been shown that calnexin is a chaperone that retains incompletely or improperly folded proteins in the ER. The sequence Lys-Asp-Glu-Leu (KDEL) or a closely related sequence, is present at the carboxy-terminus of soluble ER resident proteins such as GRP78 and GRP94 and protein disulfide isomerase. Integral membrane ER resident proteins, like calnexin, often lack this KDEL sequence but contain positively charged cytosolic residues that ensure ER retention. Calnexin contains a large ER luminal domain (461 amino acids), a transmembrane segment (22 amino acids), and a cytoplasmic tail (89 amino acids).
Specifications
| Calnexin | |
| Polyclonal | |
| Unconjugated | |
| CANX | |
| 1110069N15Rik; AI988026; calmegin; calnexin; canx; canx-a; canx-b; clgn; clnx; cnx; D11Ertd153e; FLJ26570; hypothetical protein; IP90; Major histocompatibility complex class I antigen-binding protein p88; p88; P90; PP90; pp90 precursor | |
| Rabbit | |
| Affinity chromatography | |
| RUO | |
| 12330, 29144, 821 | |
| Store at 4°C short term. For long term storage, store at -20°C, avoiding freeze/thaw cycles. | |
| Liquid |
| Flow Cytometry, Immunohistochemistry (Paraffin), Western Blot | |
| 1 mg/mL | |
| PBS with 0.2% BSA, 50% glycerol and 0.05% sodium azide; pH 7.4 | |
| P27824, P35564, P35565 | |
| CANX | |
| Synthetic peptide within C-terminal residues of rat Calnexin. | |
| 100 μL | |
| Primary | |
| Human, Mouse, Rat | |
| Antibody | |
| IgG |
Product Content Correction
Your input is important to us. Please complete this form to provide feedback related to the content on this product.
Product Title
Spot an opportunity for improvement?Share a Content Correction