missing translation for 'onlineSavingsMsg'
Learn More

Invitrogen™ Calnexin Monoclonal Antibody (C2), Invitrogen™

Mouse Monoclonal Antibody

Brand:  Invitrogen™ MA550930

 View more versions of this product

Product Code. 17948592

  • £161.00 / 20µL

Please to purchase this item. Need a web account? Register with us today!

This item is not returnable. View return policy

Description

Description

Calnexin, also referred to as IP90, p88 and p90, is an approximately 90 kDa integral membrane protein of the endoplasmic reticulum (ER). Many resident ER proteins act as molecular chaperones and participate in the proper folding of polypeptides and their assembly into multisubunit proteins. Studies indicate that calnexin associates with the major histocompatibility complex (MHC) class I heavy chains, partial complexes of the T cell receptor and B cell membrane immunoglobulin, but not with completed receptor complexes. It has been shown that calnexin is a chaperone that retains incompletely or improperly folded proteins in the ER. The sequence Lys-Asp-Glu-Leu (KDEL) or a closely related sequence, is present at the carboxy-terminus of soluble ER resident proteins such as GRP78 and GRP94 and protein disulfide isomerase. Integral membrane ER resident proteins, like calnexin, often lack this KDEL sequence but contain positively charged cytosolic residues that ensure ER retention. Calnexin contains a large ER luminal domain (461 amino acids), a transmembrane segment (22 amino acids), and a cytoplasmic tail (89 amino acids).
TRUSTED_SUSTAINABILITY
Specifications

Specifications

Calnexin
Monoclonal
1 mg/mL
PBS with 50% glycerol and 0.05% Proclin 300; pH 7.4
P24643, P27824, P35565
CANX
Recombinant Human CNX protein, Thr239-Ala461 (Accession #P27824).
20 μL
Primary
Bovine, Canine, Human, Pig, Rat
Antibody
IgG2b κ
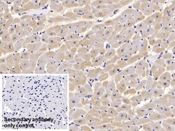
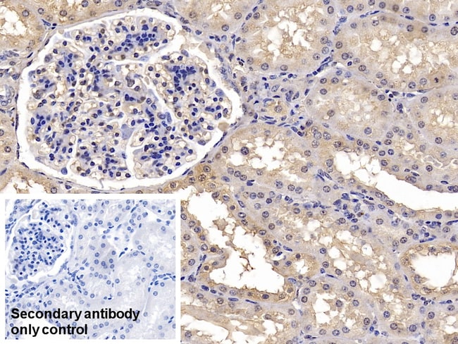
Immunohistochemistry (Paraffin), Western Blot, Immunocytochemistry
C2
Unconjugated
CANX
1110069N15Rik; AI988026; calmegin; calnexin; canx; canx-a; canx-b; clgn; clnx; cnx; D11Ertd153e; FLJ26570; hypothetical protein; IP90; Major histocompatibility complex class I antigen-binding protein p88; p88; P90; PP90; pp90 precursor
Mouse
Protein A/G
RUO
100519184, 29144, 403908, 407129, 821
Store at 4°C short term. For long term storage, store at -20°C, avoiding freeze/thaw cycles.
Liquid
Product Suggestions

Product Suggestions

Videos
SDS
Documents

Documents

Certificates
Promotions

Promotions

Product Content Correction

Your input is important to us. Please complete this form to provide feedback related to the content on this product.

Product Title

By clicking Submit, you acknowledge that you may be contacted by Fisher Scientific in regards to the feedback you have provided in this form. We will not share your information for any other purposes. All contact information provided shall also be maintained in accordance with our Privacy Policy.

Thank You! Your feedback has been submitted. Fisher Scientific is always working to improve our content for you. We appreciate your feedback.