missing translation for 'onlineSavingsMsg'
Learn More
Learn More
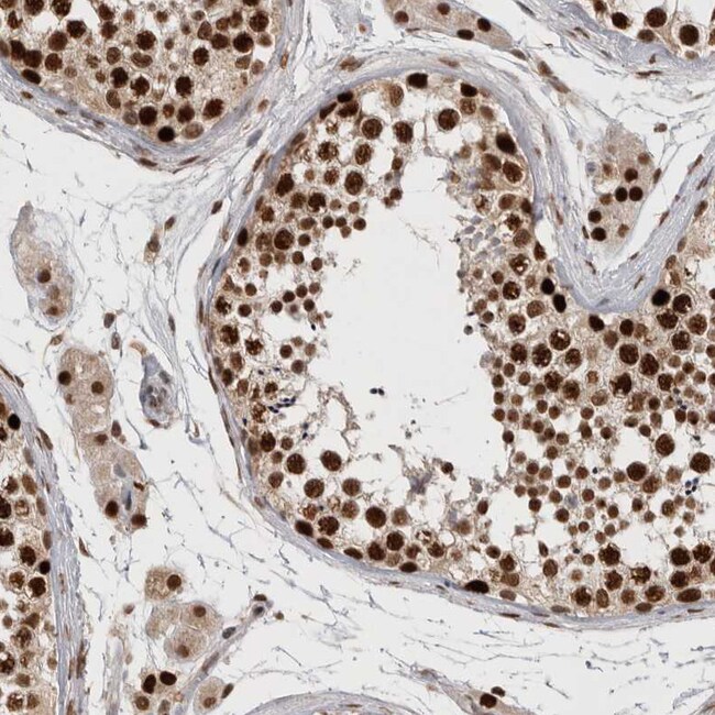
Invitrogen™ CAF1 p60 Polyclonal Antibody

Rabbit Polyclonal Antibody
Brand: Invitrogen™ PA582772
This item is not returnable.
View return policy
Description
Immunogen sequence: PAPTVIRDPP SITPAVKSPL PGPSEEKTLQ PSSQNTKAHP SRRVTLNTLQ AWSKTTPRRI NLTPLKTDTP PSSVPTSVIS TPSTEEIQSE TPGDAQGSPP ELKRPRLDEN KG Highest antigen sequence indentity to the following orthologs: Rat - 65%, Mouse - 67%.
Chromatin assembly factor 1 (CAF-1) is a member of the histone chaperone family. It is required for inheritance of epigenetically determined chromosomal states, and in vitro, it promotes the assembly of chromatin during DNA replication and DNA repair. CAF-1 is a complex of three subunits; p150, p60, and p48. This complex is localized to the nucleus of human cells. Both the composition and the biochemical activity of CAF-1 are conserved among human, yeast, and Drosophila.
Specifications
| CAF1 p60 | |
| Polyclonal | |
| Unconjugated | |
| Chaf1b | |
| 2600017H24Rik; C76145; CAF1; CAF-1; CAF1 p60; CAF-1 subunit B; CAF1A; CAF1P60; CAF-I 60 kDa subunit; CAF-I p60; CAF-Ip60; CHAF1B; Chromatin assembly factor 1 subunit B; chromatin assembly factor 1, subunit B; chromatin assembly factor 1, subunit B (p60); chromatin assembly factor I p60 subunit; fe36g06; gef; human chromatin assembly factor-I p60 subunit; LOW QUALITY PROTEIN: chromatin assembly factor 1 subunit B; M-phase phosphoprotein 7; MPHOSPH7; MPP7; p60 CAF1; p60-CAF1; wu:fd07c09; wu:fe36g06; wu:fv38g09; zgc:56096 | |
| Rabbit | |
| Antigen affinity chromatography | |
| RUO | |
| 8208 | |
| Store at 4°C short term. For long term storage, store at -20°C, avoiding freeze/thaw cycles. | |
| Liquid |
| Immunohistochemistry (Paraffin), Western Blot, Immunocytochemistry | |
| 0.1 mg/mL | |
| PBS with 40% glycerol and 0.02% sodium azide; pH 7.2 | |
| Q13112 | |
| Chaf1b | |
| Recombinant protein corresponding to Human CHAF1B. Recombinant protein control fragment (Product #RP-91774). | |
| 100 μL | |
| Primary | |
| Human | |
| Antibody | |
| IgG |
Product Content Correction
Your input is important to us. Please complete this form to provide feedback related to the content on this product.
Product Title
Spot an opportunity for improvement?Share a Content Correction