missing translation for 'onlineSavingsMsg'
Learn More
Learn More
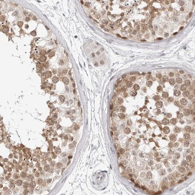
Invitrogen™ C8orf48 Polyclonal Antibody

Rabbit Polyclonal Antibody
Brand: Invitrogen™ PA555293
This item is not returnable.
View return policy
Description
Immunogen sequence: AQTDKSALAN LSDETETLKN FTDEVQTSSS FSSSGGRQSS PLTSGSKLER EKQTPSLEQG DTQSELLDY Highest antigen sequence identity to the following orthologs: Mouse - 30%, Rat - 30%.
The C8orf48 gene has been identified as a critical biomarker in colorectal cancer (CRC). Research indicates that C8orf48 plays a significant role in inhibiting tumorigenesis by regulating key signaling pathways. This gene is negatively associated with KRAS, BRAF, and MAP2K2 in normal colorectal tissues and negatively correlated with MAP2K2 in CRC tissues. These associations suggest that C8orf48 may function as a tumor suppressor by modulating pathways involved in cell proliferation, migration, and invasion. The gene's expression and methylation profiles have been extensively studied using data from The Cancer Genome Atlas (TCGA), and functional assays have confirmed its inhibitory effects on CRC cell growth. Additionally, C8orf48 has been identified as a direct target of miR-556, further elucidating its regulatory mechanisms. The findings underscore the potential of C8orf48 as a novel target for CRC prediction and therapy.
Specifications
| C8orf48 | |
| Polyclonal | |
| Unconjugated | |
| C8orf48 | |
| C8orf48; chromosome 8 open reading frame 48; uncharacterized protein C8orf48 | |
| Rabbit | |
| Antigen affinity chromatography | |
| RUO | |
| 157773 | |
| Store at 4°C short term. For long term storage, store at -20°C, avoiding freeze/thaw cycles. | |
| Liquid |
| Immunohistochemistry (Paraffin), Western Blot, Immunocytochemistry | |
| 0.05 mg/mL | |
| PBS with 40% glycerol and 0.02% sodium azide; pH 7.2 | |
| Q96LL4 | |
| C8orf48 | |
| Recombinant protein corresponding to Human C8orf48. Recombinant protein control fragment (Product #RP-93865). | |
| 100 μL | |
| Primary | |
| Human | |
| Antibody | |
| IgG |
Product Content Correction
Your input is important to us. Please complete this form to provide feedback related to the content on this product.
Product Title
Spot an opportunity for improvement?Share a Content Correction