missing translation for 'onlineSavingsMsg'
Learn More

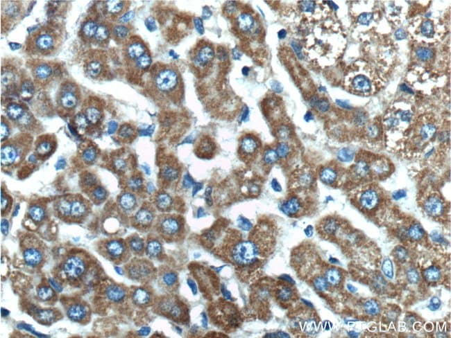
C5orf33 Rabbit anti-Human, Mouse, Rat, Polyclonal, Proteintech

Rabbit Polyclonal Antibody

Brand:  Proteintech 26352-1-AP-20UL

 View more versions of this product

Product Code. 16864845

  • £135.00 / 20µL

Please to purchase this item. Need a web account? Register with us today!

This item is not returnable. View return policy

Description

Description

Mitochondrial NAD(+) kinase that phosphorylates NAD(+) to yield NADP(+). Can use both ATP or inorganic polyphosphate as the phosphoryl donor. Also has weak NADH kinase activity in vitro; however NADH kinase activity is much weaker than the NAD(+) kinase activity and may not be relevant in vivo.
Specifications

Specifications

C5orf33
Polyclonal
Unconjugated
NADK2
C5orf33, NAD kinase 2, NADK2, UPF0465 protein C5orf33
Rabbit
Antigen Affinity Chromatography
RUO
133686, 365699, 68646
-20°C
Liquid
Immunofluorescence, Immunohistochemistry (Paraffin), Immunocytochemistry, Western Blot
0.37 mg/mL
PBS with 50% glycerol and 0.1% sodium azide; pH 7.3
Q1HCL7, Q4G0N4, Q8C5H8
Nadk2
C5orf33 Fusion Protein Ag23706
20 μL
Primary
Human, Mouse, Rat
Antibody
IgG
Product Suggestions

Product Suggestions

Videos
SDS
Documents

Documents

Certificates
Promotions

Promotions

Product Content Correction

Your input is important to us. Please complete this form to provide feedback related to the content on this product.

Product Title

By clicking Submit, you acknowledge that you may be contacted by Fisher Scientific in regards to the feedback you have provided in this form. We will not share your information for any other purposes. All contact information provided shall also be maintained in accordance with our Privacy Policy.

Thank You! Your feedback has been submitted. Fisher Scientific is always working to improve our content for you. We appreciate your feedback.